相关产品推荐更多 >
万千商家帮你免费找货
0 人在求购买到急需产品
- 详细信息
- 文献和实验
- 技术资料
- 免疫原:
Purified recombinant fragment of human PIWIL4 (AA: 304-434) expressed in E. Coli.
- 亚型:
IgG1
- 形态:
Liquid
- 保存条件:
Store as concentrated solution. Centrifuge briefly prior to opening vial. For short-term storage (1-2 weeks), store at 4ºC. For long-term storage, aliquot and store at -20ºC or below. Avoid multiple freeze-thaw cycles.
- 克隆性:
Monoclonal
- 标记物:
Unconjugated
- 适应物种:
Human
- 保质期:
12 months from the shipping date of the product.
- 抗原来源:
Human
- 目录编号:
GTX60725
- 级别:
Primary Antibodies
- 库存:
Available
- 供应商:
GeneTex
- 宿主:
Mouse
- 应用范围:
WB, IHC-P, FACS, ELISA
- 浓度:
1 mg/ml (Please refer to the vial label for the specific concentration.)
- 靶点:
PIWIL4
- 抗体英文名:
PIWIL4 antibody [10G9B11]
- 抗体名:
PIWIL4 抗体 [10G9B11]
- 规格:
100 μg
WB analysis of PC-3 (1) and PANC-1 (2) cell lysate using GTX60725 PIWIL4 antibody [10G9B11].
WB analysis of HEK293 (1) and PIWIL4 (AA: 304-434)-hIgGFc transfected HEK293 (2) cell lysate using GTX60725 PIWIL4 antibody [10G9B11].
ELISA analysis of antigen using GTX60725 PIWIL4 antibody [10G9B11].
Black : Control antigen 100ng
Purple : Antigen 10ng
Blue : Antigen 50ng
Red : Antigen 100ng
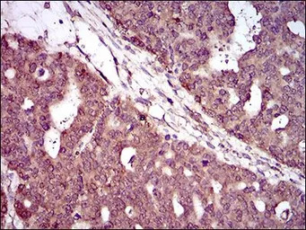
IHC-P analysis of rectum cancer tissue using GTX60725 PIWIL4 antibody [10G9B11].
FACS analysis of HeLa cells using GTX60725 PIWIL4 antibody [10G9B11].
Green : PIWIL4
Purple : negative control
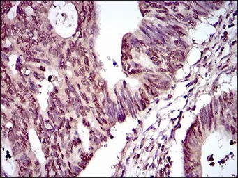
IHC-P analysis of ovarian cancer tissue using GTX60725 PIWIL4 antibody [10G9B11].
风险提示:丁香通仅作为第三方平台,为商家信息发布提供平台空间。用户咨询产品时请注意保护个人信息及财产安全,合理判断,谨慎选购商品,商家和用户对交易行为负责。对于医疗器械类产品,请先查证核实企业经营资质和医疗器械产品注册证情况。
文献和实验to 1 liter with Qcheck to make sure pH is 3.0(2) Affigel Blue Running Buffer10 mM K2HPO4 2.28 g K2HPO40.15 M NaCl 8.2 g NaCl0.02% azide 0.2 g Na azideup to 1 liter with Q(3) 1.4 M NaCl8.1 g NaClup to 100 ml with Q(4) Saturated NH4SO4767 g NH4SO4add 1 liter Q
, and incubate for 1 hour on ice. Pellet cells, giving an antibody supernatant. Add this to a cell pellet prepared as in step 9. Be very careful not to get supernatants mixed up! Repeat steps 9 + 10 seven times, or as often as necessary to decrease
. The first is to Dialyze the coupled antibody against PBS for 24 hours with 3 changes of PBS. Doing this will not change concentration of original antibody (recommended for antibody with a concentration less than 1mg/mL). The second way is to use a PD-10 column. Using
技术资料暂无技术资料 索取技术资料






![VCP antibody [Hs-14]](https://img1.dxycdn.com/2022/0328/492/0435287225649300453-14.jpg!wh200)
![Paxillin antibody [PXC-10]](https://img1.dxycdn.com/2022/0328/965/2776475706858200453-14.jpg!wh200)


