相关产品推荐更多 >
万千商家帮你免费找货
0 人在求购买到急需产品
- 详细信息
- 文献和实验
- 技术资料
- 免疫原:
Purified recombinant fragment of human RUNX3 (AA:186-252) expressed in E. Coli.
- 亚型:
IgG2b
- 形态:
Liquid
- 保存条件:
Store as concentrated solution. Centrifuge briefly prior to opening vial. For short-term storage (1-2 weeks), store at 4ºC. For long-term storage, aliquot and store at -20ºC or below. Avoid multiple freeze-thaw cycles.
- 克隆性:
Monoclonal
- 标记物:
Unconjugated
- 适应物种:
Human, Mouse
- 保质期:
12 months from the shipping date of the product.
- 抗原来源:
Human
- 目录编号:
GTX60639
- 级别:
Primary Antibodies
- 库存:
Available
- 供应商:
GeneTex
- 宿主:
Mouse
- 应用范围:
WB, ICC/IF, IHC-P, FACS, ELISA
- 浓度:
1 mg/ml (Please refer to the vial label for the specific concentration.)
- 靶点:
RUNX3
- 抗体英文名:
RUNX3 antibody [2B3]
- 抗体名:
RUNX3 抗体 [2B3]
- 规格:
100 μg
FACS analysis of NIH3T3 cells using GTX60639 RUNX3 antibody [2B3].
Green : RUNX3
Red : negative control
WB analysis of HEK293 (1) and RUNX3 (AA: 186-252)-hIgGFc transfected HEK293 (2) cell lysate using GTX60639 RUNX3 antibody [2B3].
ELISA analysis of antigen using GTX60639 RUNX3 antibody [2B3].
Black : Control antigen 100ng
Purple : Antigen 10ng
Blue : Antigen 50ng
Red : Antigen 100ng
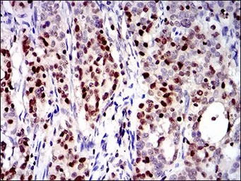
IHC-P analysis of cervical cancer tissue using GTX60639 RUNX3 antibody [2B3].
风险提示:丁香通仅作为第三方平台,为商家信息发布提供平台空间。用户咨询产品时请注意保护个人信息及财产安全,合理判断,谨慎选购商品,商家和用户对交易行为负责。对于医疗器械类产品,请先查证核实企业经营资质和医疗器械产品注册证情况。
文献和实验Deng R et al., Mol Cancer 2020 (PMID:32771023)
show the supershifts of the Runx complex with the Cbfβ, RUNX1, RUNX3, and RUNX2 antibody. The complex formed with ROS17/2.8 nuclear extract is completely supershifted in the presence of antibody specific to RUNX2/Cbfa1 (lane 10). Weak supershifts are also observed
技术资料暂无技术资料 索取技术资料








![Sodium/Potassium ATPase beta 1 antibody [464.8(8A)]](https://img1.dxycdn.com/2022/0328/089/4496730437770400453-14.jpg!wh200)

