相关产品推荐更多 >
万千商家帮你免费找货
0 人在求购买到急需产品
- 详细信息
- 文献和实验
- 技术资料
- 免疫原:
Synthesized peptide of human CEBPA (AA: C-RKSRDKAKRNVETKV).
- 亚型:
IgG1
- 形态:
Liquid
- 保存条件:
Store as concentrated solution. Centrifuge briefly prior to opening vial. For short-term storage (1-2 weeks), store at 4ºC. For long-term storage, aliquot and store at -20ºC or below. Avoid multiple freeze-thaw cycles.
- 克隆性:
Monoclonal
- 标记物:
Unconjugated
- 适应物种:
Human
- 保质期:
12 months from the shipping date of the product.
- 抗原来源:
Human
- 目录编号:
GTX60584
- 级别:
Primary Antibodies
- 库存:
Available
- 供应商:
GeneTex
- 宿主:
Mouse
- 应用范围:
WB, ICC/IF, IHC-P, FACS, ELISA
- 靶点:
C/EBP alpha
- 抗体英文名:
C/EBP alpha antibody [5B7]
- 抗体名:
C/EBP alpha 抗体 [5B7]
- 规格:
100 μl
ELISA analysis of antigen using GTX60584 C/EBP alpha antibody [5B7].
Black : Control antigen 100ng
Purple : Antigen 10ng
Blue : Antigen 50ng
Red : Antigen 100ng
ICC/IF analysis of HeLa cells using GTX60584 C/EBP alpha antibody [5B7].
Green : C/EBP alpha
Red: Actin filaments
FACS analysis of MCF-7 cells using GTX60584 C/EBP alpha antibody [5B7].
Green : C/EBP alpha
Red : negative control
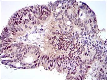
IHC-P analysis of human rectum tissue using GTX60584 C/EBP alpha antibody [5B7].
WB analysis of Jurkat (1), k562 (2), and HepG2 (3) cell lysate using GTX60584 C/EBP alpha antibody [5B7].
风险提示:丁香通仅作为第三方平台,为商家信息发布提供平台空间。用户咨询产品时请注意保护个人信息及财产安全,合理判断,谨慎选购商品,商家和用户对交易行为负责。对于医疗器械类产品,请先查证核实企业经营资质和医疗器械产品注册证情况。
文献和实验人B7-H4 ( B7-H4 )ELISA 试剂盒 ( 用于血清、血浆、细胞培养上清液和尿液生物体液内 ) 原理 本实验采用双抗体夹心 ABC-ELISA 法。用抗人 B7-H4 单抗包被于酶标板上,标准品和样品中的 B7-H4与单抗结合,加入生物素化的抗人 B7-H4 ,形成免疫复合物连接在板上,辣根过氧化物酶标记的 Streptavidin 与生物素结合,加入底物工作液显蓝色,最后加终止
In situ hybridisation to alpha satellite sequences (chromosome specific)
can be done without formamide at higher temperature (try 0.25 x SSC at 72C for 5 minutes) Formamide wash solution: 60ml formamide TOXIC (Sigma F7503), 30ml H2 O, 10ml 20 x SSC, 80 m l conc. HCl (to bring the pH to 7) Do not allow the slides to dry at any stage
8.0) in clean 16x125mm polypropylene test tube. If needed, adjust pH to 8.0 using 0.5M carbonate buffer. 2. Prepare fresh, 1mg/mL of either NHS-FITC in DMSO or 1mg/mL NHS-LC-Biotin in DH2O. If FITC coupling, add 75uL of FITC/DMSO solution to Antibody
技术资料暂无技术资料 索取技术资料








![CFTR antibody [SPM176]](https://img1.dxycdn.com/2022/0328/469/6954614424710700453-14.jpg!wh200)
![C17ORF53 antibody [7A3A9]](https://img1.dxycdn.com/2022/0328/160/1144063998413500453-14.jpg!wh200)

