相关产品推荐更多 >
万千商家帮你免费找货
0 人在求购买到急需产品
- 详细信息
- 文献和实验
- 技术资料
- 免疫原:
Synthetic peptide taken within amino acid region 240-290 on mouse Aquaporin 12 protein.
- 亚型:
IgG
- 形态:
Liquid
- 保存条件:
Store as concentrated solution. Centrifuge briefly prior to opening vial. For short-term storage (1-2 weeks), store at 4ºC. For long-term storage, aliquot and store at -20ºC or below. Avoid multiple freeze-thaw cycles.
- 克隆性:
Polyclonal
- 标记物:
Unconjugated
- 适应物种:
Mouse, Rat
- 保质期:
12 months from the shipping date of the product.
- 抗原来源:
Mouse
- 目录编号:
GTX47925
- 级别:
Primary Antibodies
- 库存:
Available
- 供应商:
GeneTex
- 宿主:
Rabbit
- 应用范围:
WB, ICC/IF, IHC-P, IP, ELISA
- 浓度:
0.61-0.67 mg/ml (Please refer to the vial label for the specific concentration.)
- 靶点:
Aquaporin 12
- 抗体英文名:
Aquaporin 12 antibody
- 抗体名:
Aquaporin 12 抗体
- 规格:
100 μg
WB analysis of Aquaporin 12 recombinant protein using GTX47925 Aquaporin 12 antibody.
Dilution : 1:500
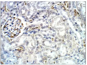
IHC-P analysis of mouse kidney tissue using GTX47925 Aquaporin 12 antibody.
Dilution : 1:100
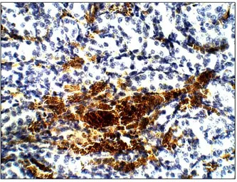
IHC-P analysis of rat kidney tissue using GTX47925 Aquaporin 12 antibody.
Dilution : 1:100
风险提示:丁香通仅作为第三方平台,为商家信息发布提供平台空间。用户咨询产品时请注意保护个人信息及财产安全,合理判断,谨慎选购商品,商家和用户对交易行为负责。对于医疗器械类产品,请先查证核实企业经营资质和医疗器械产品注册证情况。
文献和实验人白介素-12 p40(IL-12 p40)ELISA试剂盒 说明书
) 50ml 标准品 (Standards ) : 10ng/瓶 2 瓶 底物工作液(TMB Solution ) 12ml 第一抗体工作液( Biotinylated Antibody
Buffer and save the flowthrough.(12) Wash with 6 ml Buffer A, 6 ml Buffer B, and 6 ml Buffer A. Hold at room temperature for 30 minutes.(13) Wash with 6 ml Buffer B, 6 ml Buffer A, and 6 ml Buffer B. Wash with Storage Buffer and hold at 4°C.(14) To purify
Antibody Staining of Ovaries 1. Dissect ovaries in EBR 2. Transfer ovaries into an Eppendorf tube and add 100 µl devitellinizing buffer and 600-µl heptane 3. Agitate gently for 10 minutes
技术资料暂无技术资料 索取技术资料









![KLHL22 antibody [7B10]](https://img1.dxycdn.com/2022/0328/494/7697255114817500453-14.jpg!wh200)

