相关产品推荐更多 >
万千商家帮你免费找货
0 人在求购买到急需产品
- 详细信息
- 技术资料
- 免疫原:
Purified recombinant fragment of human RPA1 expressed in E. Coli.
- 亚型:
IgG1
- 形态:
Liquid
- 保存条件:
Store as concentrated solution. Centrifuge briefly prior to opening vial. For short-term storage (1-2 weeks), store at 4ºC. For long-term storage, aliquot and store at -20ºC or below. Avoid multiple freeze-thaw cycles.
- 克隆性:
Monoclonal
- 标记物:
Unconjugated
- 适应物种:
Human, Monkey
- 保质期:
12 months from the shipping date of the product.
- 抗原来源:
Human
- 目录编号:
GTX60579
- 级别:
Primary Antibodies
- 库存:
Available
- 供应商:
GeneTex
- 宿主:
Mouse
- 应用范围:
WB, ICC/IF, IHC-P, FACS, ELISA
- 浓度:
1 mg/ml (Please refer to the vial label for the specific concentration.)
- 靶点:
RPA70
- 抗体英文名:
RPA70 antibody [4C4]
- 抗体名:
RPA70 抗体 [4C4]
- 规格:
100 μg
ELISA analysis of antigen using GTX60579 RPA70 antibody [4C4].
Black : Control antigen 100ng
Purple : Antigen 10ng
Blue : Antigen 50ng
Red : Antigen 100ng
WB analysis of human RPA70 (AA: 308-513) recombinant protein using GTX60579 RPA70 antibody [4C4].
IHC-P analysis of human prostate tissue using GTX60579 RPA70 antibody [4C4].
FACS analysis of Jurkat cells using GTX60579 RPA70 antibody [4C4].
Green : RPA70
Red : negative control
WB analysis of HeLa (1), MCF-7 (2), K562(3), A431(4), and COS-7 (6) cell lysate using GTX60579 RPA70 antibody [4C4].
ICC/IF analysis of HeLa cells using GTX60579 RPA70 antibody [4C4].
Green : RPA70
Red: Actin filaments
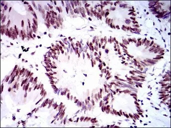
IHC-P analysis of colon cancer tissue using GTX60579 RPA70 antibody [4C4].
风险提示:丁香通仅作为第三方平台,为商家信息发布提供平台空间。用户咨询产品时请注意保护个人信息及财产安全,合理判断,谨慎选购商品,商家和用户对交易行为负责。对于医疗器械类产品,请先查证核实企业经营资质和医疗器械产品注册证情况。
技术资料暂无技术资料 索取技术资料









![Hepatic lipase antibody [N1C1]](https://img1.dxycdn.com/2022/0328/592/7561418428628200453-14.jpg!wh200)
