相关产品推荐更多 >
万千商家帮你免费找货
0 人在求购买到急需产品
- 详细信息
- 文献和实验
- 技术资料
- 免疫原:
Purified recombinant fragment of human RAF1 expressed in E. Coli.
- 亚型:
IgG1
- 形态:
Liquid
- 保存条件:
Store as concentrated solution. Centrifuge briefly prior to opening vial. For short-term storage (1-2 weeks), store at 4ºC. For long-term storage, aliquot and store at -20ºC or below. Avoid multiple freeze-thaw cycles.
- 克隆性:
Monoclonal
- 标记物:
Unconjugated
- 适应物种:
Human, Rat, Monkey
- 保质期:
12 months from the shipping date of the product.
- 抗原来源:
Human
- 目录编号:
GTX60556
- 级别:
Primary Antibodies
- 库存:
Available
- 供应商:
GeneTex
- 宿主:
Mouse
- 应用范围:
WB, IHC-P, FACS, ELISA
- 浓度:
1 mg/ml (Please refer to the vial label for the specific concentration.)
- 靶点:
Raf1
- 抗体英文名:
Raf1 antibody [4G4]
- 抗体名:
Raf1 抗体 [4G4]
- 规格:
100 μg
WB analysis of human RAF1 (AA: 198-407) recombinant protein using GTX60556 Raf1 antibody [4G4].
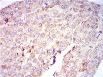
IHC-P analysis of liver cancer tissue using GTX60556 Raf1 antibody [4G4].
WB analysis of HeLa (1), A431 (2), Cos7 (3) and C6 (4) cell lysate using GTX60556 Raf1 antibody [4G4].
FACS analysis of HeLa cells using GTX60556 Raf1 antibody [4G4].
Green : Raf1
Red : negative control
ELISA analysis of antigen using GTX60556 Raf1 antibody [4G4].
Black : Control antigen 100ng
Purple : Antigen 10ng
Blue : Antigen 50ng
Red : Antigen 100ng
风险提示:丁香通仅作为第三方平台,为商家信息发布提供平台空间。用户咨询产品时请注意保护个人信息及财产安全,合理判断,谨慎选购商品,商家和用户对交易行为负责。对于医疗器械类产品,请先查证核实企业经营资质和医疗器械产品注册证情况。
文献和实验case, the antibody should be added in 1:100 to 1:500 final dilution. • For Hsp70, 3A3 and C92 did work, 4G4 and 5A5 did not. 3A3 may be used 1 μl/ sample. • HSE probe must have high-specific activity (>10,000 cpm/fmol) and be double-stranded
技术资料暂无技术资料 索取技术资料







![LAG3 antibody [C9B7W]](https://img1.dxycdn.com/2022/0328/743/0433317086714400453-14.jpg!wh200)



