相关产品推荐更多 >
万千商家帮你免费找货
0 人在求购买到急需产品
- 详细信息
- 文献和实验
- 技术资料
- 免疫原:
Purified recombinant fragment of human RPS6KB1 expressed in E. Coli.
- 亚型:
IgG1
- 形态:
Liquid
- 保存条件:
Store as concentrated solution. Centrifuge briefly prior to opening vial. For short-term storage (1-2 weeks), store at 4ºC. For long-term storage, aliquot and store at -20ºC or below. Avoid multiple freeze-thaw cycles.
- 克隆性:
Monoclonal
- 标记物:
Unconjugated
- 适应物种:
Human
- 保质期:
12 months from the shipping date of the product.
- 抗原来源:
Human
- 目录编号:
GTX60550
- 级别:
Primary Antibodies
- 库存:
Available
- 供应商:
GeneTex
- 宿主:
Mouse
- 应用范围:
WB, IHC-P, FACS, ELISA
- 浓度:
1 mg/ml (Please refer to the vial label for the specific concentration.)
- 靶点:
p70 S6K
- 抗体英文名:
p70 S6K antibody [5G9]
- 抗体名:
p70 S6K 抗体 [5G9]
- 规格:
100 μg
IHC-P analysis of human muscle tissue using GTX60550 p70 S6K antibody [5G9].
ELISA analysis of antigen using GTX60550 p70 S6K antibody [5G9].
Black : Control antigen 100ng
Purple : Antigen 10ng
Blue : Antigen 50ng
Red : Antigen 100ng
FACS analysis of Jurkat cells using GTX60550 p70 S6K antibody [5G9].
Green : p70 S6K
Red : negative control
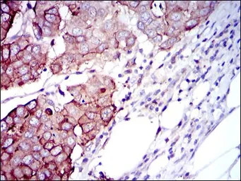
IHC-P analysis of breast cancer tissue using GTX60550 p70 S6K antibody [5G9].
WB analysis of human p70 S6K (AA: 295-524) recombinant protein using GTX60550 p70 S6K antibody [5G9].
风险提示:丁香通仅作为第三方平台,为商家信息发布提供平台空间。用户咨询产品时请注意保护个人信息及财产安全,合理判断,谨慎选购商品,商家和用户对交易行为负责。对于医疗器械类产品,请先查证核实企业经营资质和医疗器械产品注册证情况。
文献和实验大鼠白介素-12 p70(IL-12 p70)ELISA试剂盒 说明书
上海西唐生物科技有限公司 021-55229872, 65333639 www.westang.com 大鼠白介素 -12 p70(IL-12 p70)ELISA 试剂盒 ( 用于血清、血浆、细胞培养上清液和其它生物体液内 ) 原理 本实验采用双抗体夹心 ABC-ELISA 法。用抗大鼠 IL-12 p70 单抗包被于酶标板上,标准品和样品中的 IL-12 p70 与单抗结合,加入生物
人白介素-12 p70(IL-12 p70)ELISA试剂盒 说明书
上海西唐生物科技有限公司 021-55229872, 65333639 www.westang.com 人白介素-12 p70 (IL-12 p70)ELISA 试剂盒 ( 用于血清、血浆、细胞培养上清液和其它生物体液内 ) 原理 本实验采用双抗体夹心 ABC-ELISA 法。用抗人 IL-12 p70 单抗包被于酶标板上,标准品和样品中的 IL-12 p70与单抗
小鼠白介素-12 p70(IL-12 p70)ELISA试剂盒 说明书
上海西唐生物科技有限公司 021-55229872, 65333639 www.westang.com 小鼠白介素-12 p70 (IL-12 p70)ELISA 试剂盒 ( 用于血清、血浆、细胞培养上清液和其它生物体液内 ) 原理 本实验采用双抗体夹心 ABC-ELISA 法。用抗小鼠 IL-12 p70 单抗包被于酶标板上,标准品和样品中的 IL-12 p70
技术资料暂无技术资料 索取技术资料







![Lamin A + C antibody [GT9712]](https://img1.dxycdn.com/2022/0329/124/3570269911965020453-14.jpg!wh200)
![NF-L antibody [2G10]](https://img1.dxycdn.com/2022/0328/521/5104743716613500453-14.jpg!wh200)
![MSR1 antibody [2F8]](https://img1.dxycdn.com/2022/0328/873/6829634133124400453-14.jpg!wh200)

