相关产品推荐更多 >
万千商家帮你免费找货
0 人在求购买到急需产品
- 详细信息
- 文献和实验
- 技术资料
- 免疫原:
Purified recombinant fragment of human NEFL expressed in E. Coli.
- 亚型:
IgG1
- 形态:
Liquid
- 保存条件:
Store as concentrated solution. Centrifuge briefly prior to opening vial. For short-term storage (1-2 weeks), store at 4ºC. For long-term storage, aliquot and store at -20ºC or below. Avoid multiple freeze-thaw cycles.
- 克隆性:
Monoclonal
- 标记物:
Unconjugated
- 适应物种:
Human
- 保质期:
12 months from the shipping date of the product.
- 抗原来源:
Human
- 目录编号:
GTX60541
- 级别:
Primary Antibodies
- 库存:
Available
- 供应商:
GeneTex
- 宿主:
Mouse
- 应用范围:
WB, ICC/IF, IHC-P, FACS, ELISA
- 靶点:
NF-L
- 抗体英文名:
NF-L antibody [1H3]
- 抗体名:
NF-L 抗体 [1H3]
- 规格:
100 μg
ICC/IF analysis of HeLa cells using GTX60541 NF-L antibody [1H3].
Green : NF-L
Blue: DRAQ5 fluorescent DNA dye
Red: Actin filaments
FACS analysis of Jurkat cells using GTX60541 NF-L antibody [1H3].
Green : NF-L
Red : negative control
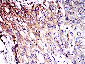
IHC-P analysis of lung cancer tissue using GTX60541 NF-L antibody [1H3].
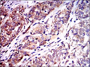
IHC-P analysis of bladder cancer tissue using GTX60541 NF-L antibody [1H3].
WB analysis of human NF-L (AA: 422-543) recombinant protein using GTX60541 NF-L antibody [1H3].
ELISA analysis of antigen using GTX60541 NF-L antibody [1H3].
Black : Control antigen 100ng
Purple : Antigen 10ng
Blue : Antigen 50ng
Red : Antigen 100ng
WB analysis of HeLa (1) and Jurkat (2) cell lysate using GTX60541 NF-L antibody [1H3].
风险提示:丁香通仅作为第三方平台,为商家信息发布提供平台空间。用户咨询产品时请注意保护个人信息及财产安全,合理判断,谨慎选购商品,商家和用户对交易行为负责。对于医疗器械类产品,请先查证核实企业经营资质和医疗器械产品注册证情况。
文献和实验Immunohistochemistry / Immunocytochemistry Procedures
In these techniques an antibody is used to link a cellular antigen specifically to a stain that can be more readily seen with a microscope. Detection of antigens in tissues is known as
技术资料暂无技术资料 索取技术资料






![alpha Tubulin antibody [TU-01] (FITC)](https://img1.dxycdn.com/2022/0328/967/9994591396628300453-14.jpg!wh200)
![C1 inhibitor antibody [HL1197]](https://img1.dxycdn.com/2022/0329/279/2528681426209020453-14.jpg!wh200)
![CD10 antibody [56C6]](https://img1.dxycdn.com/2022/0328/533/3920976608074500453-14.jpg!wh200)


