相关产品推荐更多 >
万千商家帮你免费找货
0 人在求购买到急需产品
- 详细信息
- 文献和实验
- 技术资料
- 免疫原:
Purified recombinant fragment of human TUBA8 expressed in E. Coli.
- 亚型:
IgG2b
- 形态:
Liquid
- 保存条件:
Store as concentrated solution. Centrifuge briefly prior to opening vial. For short-term storage (1-2 weeks), store at 4ºC. For long-term storage, aliquot and store at -20ºC or below. Avoid multiple freeze-thaw cycles.
- 克隆性:
Monoclonal
- 标记物:
Unconjugated
- 适应物种:
Human, Mouse, Rat
- 保质期:
12 months from the shipping date of the product.
- 抗原来源:
Human
- 目录编号:
GTX60532
- 级别:
Primary Antibodies
- 库存:
Available
- 供应商:
GeneTex
- 宿主:
Mouse
- 应用范围:
WB, ICC/IF, IHC-P, FACS, ELISA
- 靶点:
alpha Tubulin 8
- 抗体英文名:
alpha Tubulin 8 antibody [2D6]
- 抗体名:
alpha Tubulin 8 抗体 [2D6]
- 规格:
100 μl
ICC/IF analysis of HeLa cells using GTX60532 alpha Tubulin 8 antibody [2D6].
Green : alpha Tubulin 8
Blue: DRAQ5 fluorescent DNA dye
Red: Actin filaments
WB analysis of Rat heart tissue lysate using GTX60532 alpha Tubulin 8 antibody [2D6].
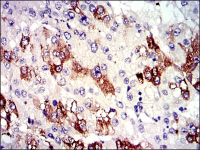
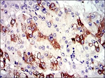
IHC-P analysis of liver cancer tissue using GTX60532 alpha Tubulin 8 antibody [2D6].
ELISA analysis of antigen using GTX60532 alpha Tubulin 8 antibody [2D6].
Black : Control antigen 100ng
Purple : Antigen 10ng
Blue : Antigen 50ng
Red : Antigen 100ng
WB analysis of human TUBA8 (AA: 294-449) recombinant protein using GTX60532 alpha Tubulin 8 antibody [2D6].
FACS analysis of NIH3T3 cells using GTX60532 alpha Tubulin 8 antibody [2D6].
Green : alpha Tubulin 8
Red : negative control
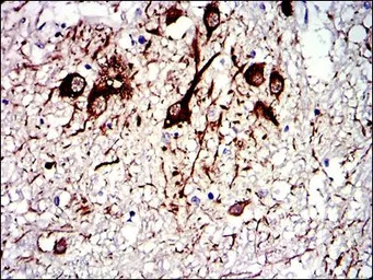
IHC-P analysis of human medulla oblongata tissue using GTX60532 alpha Tubulin 8 antibody [2D6].
风险提示:丁香通仅作为第三方平台,为商家信息发布提供平台空间。用户咨询产品时请注意保护个人信息及财产安全,合理判断,谨慎选购商品,商家和用户对交易行为负责。对于医疗器械类产品,请先查证核实企业经营资质和医疗器械产品注册证情况。
文献和实验Fluorescence Procedures for the Actin and Tubulin Cytoskeleton in Fixed Cells
immunofluorescence. Block in AbDil for 10'. Anti-tubulin for 20' - 30' (We use DM1alpha) Wash 4x TBST (TBST = TBS + 0.1% Triton X-100) Secondary for 20' - 30' Wash 4X TBST. Wash once with TBST + 1 ug/ml Hoechst
Fluorescence Procedures for the Actin and Tubulin Cytoskeleton in Fixed Cells
'. Anti-tubulin for 20' - 30' (We use DM1alpha) Wash 4x TBST (TBST = TBS + 0.1% Triton X-100) Secondary for 20' - 30' Wash 4X TBST. Wash once with TBST + 1 ug/ml Hoechst. A rapid rinse will be sufficient. Drain, mount and seal. COMMENT
duplex PCR amplification, which is the coamplification of a fragment from the region of interest and a control fragment (e.g., the actin gene, or the tubulin gene). This approach allows for estimating relative levels of specific histone modifications
技术资料暂无技术资料 索取技术资料











