相关产品推荐更多 >
万千商家帮你免费找货
0 人在求购买到急需产品
- 详细信息
- 文献和实验
- 技术资料
- 免疫原:
Purified recombinant fragment of human GSTM1 expressed in E. Coli.
- 亚型:
IgG1
- 形态:
Liquid
- 保存条件:
Store as concentrated solution. Centrifuge briefly prior to opening vial. For short-term storage (1-2 weeks), store at 4ºC. For long-term storage, aliquot and store at -20ºC or below. Avoid multiple freeze-thaw cycles.
- 克隆性:
Monoclonal
- 标记物:
Unconjugated
- 适应物种:
Human, Monkey
- 保质期:
12 months from the shipping date of the product.
- 抗原来源:
Human
- 目录编号:
GTX60526
- 级别:
Primary Antibodies
- 库存:
Available
- 供应商:
GeneTex
- 宿主:
Mouse
- 应用范围:
WB, IHC-P, FACS, ELISA
- 靶点:
GSTM1
- 抗体英文名:
GSTM1 antibody [1H4A4]
- 抗体名:
GSTM1 抗体 [1H4A4]
- 规格:
100 μl
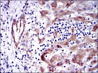
IHC-P analysis of liver cancer tissue using GTX60526 GSTM1 antibody [1H4A4].
ELISA analysis of antigen using GTX60526 GSTM1 antibody [1H4A4].
Black : Control antigen 100ng
Purple : Antigen 10ng
Blue : Antigen 50ng
Red : Antigen 100ng
FACS analysis of Jurkat cells using GTX60526 GSTM1 antibody [1H4A4].
Green : GSTM1
Red : negative control
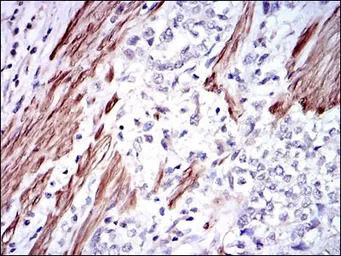
IHC-P analysis of rectum cancer tissue using GTX60526 GSTM1 antibody [1H4A4].
WB analysis of Cos7 (1), MCF-7 (2), Jurkat (3), HeLa (4), HL7702 (5) and HepG2 (6) cell lysate using GTX60526 GSTM1 antibody [1H4A4].
风险提示:丁香通仅作为第三方平台,为商家信息发布提供平台空间。用户咨询产品时请注意保护个人信息及财产安全,合理判断,谨慎选购商品,商家和用户对交易行为负责。对于医疗器械类产品,请先查证核实企业经营资质和医疗器械产品注册证情况。
文献和实验抗子宫内膜抗体(endomethal antibody,EMAb)检测
子宫内膜抗体(endomethal antibody,EMAb)是子宫内膜异位病患者受到异位内膜的刺激,或经血逆流等因素导致免疫应答紊乱产生的一种自身抗体,并与子宫内膜中靶抗原结合,在补体参与下,引起子宫内膜免疫病理损伤,影响孕卵着床,也容易发生早期流产。目前检测EMAb的方法有间接免疫荧光法(1FT)、双向免疫扩散法(1D)、间接血凝法(PHA)及ELISA法等。IFF法需刮取子宫内膜制备抗原片,并需一定设备
溶血空斑实验技术(Hemolytic antibody plaques formation test technique)
将1.4%琼脂凝胶加热融化后,倾注于水平位置的平皿内,每皿2ml~3ml,凝固后,置37℃温箱,平皿反扣,开盖1h后备用。3、顶层琼脂的制备将0.7%的琼脂融化后,置于45℃恒温水浴箱中,依次加入以下试剂:(1)2.00×109/mlSRBC悬液0.1ml;(2)1%DEAE-右旋糖酐0.05ml;(3)1.00×107/ml脾细胞悬液0.1ml。迅速混匀后,倾注于已铺好底层琼脂的平皿内,使之均匀铺平凝固后,静置约15min,放37℃温育1h~1.5h。4、加补体从温箱中取出平皿,每皿加入1:30稀释的新鲜
溶血空斑试验技术(Hemolytic antibody plaques formation test technique
/min离心5min,弃上清后,定量加入PBS,混匀,按白细胞计数法计算脾细胞数,最后用PBS调整细胞数至1.00×107 个/ml,一般每只鼠脾脏细胞数为1×108~1.5×108。 (二) 倾注底层琼脂 将1.4%琼脂凝胶加热融化后,倾注于水平位置的平皿内,每皿2ml~3ml,凝固后,置37℃温箱,平皿反扣,开盖1h后备用。 (三) 顶层琼脂的制备 将0.7%的琼脂融化后,置于45℃恒温水浴箱中,依次加入以下试剂: ⑴ 2.00×109/mlSRBC悬液0.1ml。 ⑵
技术资料暂无技术资料 索取技术资料






![HGF antibody [mh010]](https://img1.dxycdn.com/2022/0328/901/0647311402777700453-14.jpg!wh200)


![NKX2.1 antibody [8G7G3/1]](https://img1.dxycdn.com/2022/0328/911/6961692271660700453-14.jpg!wh200)

