相关产品推荐更多 >
万千商家帮你免费找货
0 人在求购买到急需产品
- 详细信息
- 文献和实验
- 技术资料
- 免疫原:
Purified recombinant fragment of human MBP expressed in E. Coli.
- 亚型:
IgG1
- 形态:
Liquid
- 保存条件:
Store as concentrated solution. Centrifuge briefly prior to opening vial. For short-term storage (1-2 weeks), store at 4ºC. For long-term storage, aliquot and store at -20ºC or below. Avoid multiple freeze-thaw cycles.
- 克隆性:
Monoclonal
- 标记物:
Unconjugated
- 适应物种:
Human
- 保质期:
12 months from the shipping date of the product.
- 抗原来源:
Human
- 目录编号:
GTX60519
- 级别:
Primary Antibodies
- 库存:
Available
- 供应商:
GeneTex
- 宿主:
Mouse
- 应用范围:
WB, ICC/IF, IHC-P, FACS, ELISA
- 靶点:
Myelin basic protein
- 抗体英文名:
Myelin basic protein antibody [2H9]
- 抗体名:
Myelin basic protein 抗体 [2H9]
- 规格:
100 μl
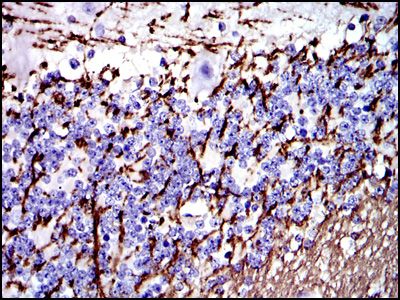
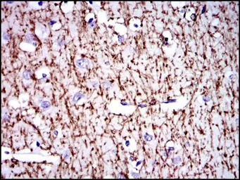
IHC-P analysis of human brain tissue using GTX60519 Myelin basic protein antibody [2H9].
WB analysis of HEK293 (1) and MBP-hIgGFc transfected HEK293 (2) cell lysate using GTX60519 Myelin basic protein antibody [2H9].
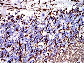
IHC-P analysis of human cerebellum tissue using GTX60519 Myelin basic protein antibody [2H9].
WB analysis of human MBP (AA: 1-197) recombinant protein using GTX60519 Myelin basic protein antibody [2H9].
ICC/IF analysis of MSCS cells using GTX60519 Myelin basic protein antibody [2H9].
Green : Myelin basic protein
Blue: DRAQ5 fluorescent DNA dye
Red: Actin filaments
ELISA analysis of antigen using GTX60519 Myelin basic protein antibody [2H9].
Black : Control antigen 100ng
Purple : Antigen 10ng
Blue : Antigen 50ng
Red : Antigen 100ng
FACS analysis of HepG2 cells using GTX60519 Myelin basic protein antibody [2H9].
Green : Myelin basic protein
Red : negative control
风险提示:丁香通仅作为第三方平台,为商家信息发布提供平台空间。用户咨询产品时请注意保护个人信息及财产安全,合理判断,谨慎选购商品,商家和用户对交易行为负责。对于医疗器械类产品,请先查证核实企业经营资质和医疗器械产品注册证情况。
文献和实验The COS-7 Cell In Vitro Paradigm to Study Myelin Proteolipid Protein 1 Gene Mutations
Despite many shortcomings, a reductionist approach using cell culture paradigms to define basic principles underlying disease processes has considerable merit. One example of the utility of this approach is the expression of mutant forms
There are many different types of ELISAs, which can detect the presence of protein in serum or supernatent. One of the most common types of ELISA is the so-called "sandwich ELISA." It is termed this because the antibody
Basic Method for Indirect Immunofluorescence Labeling
In flow cytometry, fluorescence is relative. We need a negative control to determine where "positivity" begins. Secondary antibody: Fluorochrome-conjugated antibodies directed towards the protein composing the primary
技术资料暂无技术资料 索取技术资料







![CD18 antibody [10E12]](https://img1.dxycdn.com/2022/0328/529/0175055796157500453-14.jpg!wh200)
![Dysferlin antibody [Ham1/7B6]](https://img1.dxycdn.com/2022/0328/405/9584605773197700453-14.jpg!wh200)


