相关产品推荐更多 >
万千商家帮你免费找货
0 人在求购买到急需产品
- 详细信息
- 文献和实验
- 技术资料
- 免疫原:
Purified recombinant fragment of human OTX2 expressed in E. Coli.
- 亚型:
IgG1
- 形态:
Liquid
- 保存条件:
Store as concentrated solution. Centrifuge briefly prior to opening vial. For short-term storage (1-2 weeks), store at 4ºC. For long-term storage, aliquot and store at -20ºC or below. Avoid multiple freeze-thaw cycles.
- 克隆性:
Monoclonal
- 标记物:
Unconjugated
- 适应物种:
Human
- 保质期:
12 months from the shipping date of the product.
- 抗原来源:
Human
- 目录编号:
GTX60449
- 级别:
Primary Antibodies
- 库存:
Available
- 供应商:
GeneTex
- 宿主:
Mouse
- 应用范围:
WB, ICC/IF, IHC-P, ELISA
- 靶点:
OTX2
- 抗体英文名:
OTX2 antibody [1H12G8B2]
- 抗体名:
OTX2 抗体 [1H12G8B2]
- 规格:
100 μl
ELISA analysis of antigen using GTX60449 OTX2 antibody [1H12G8B2].
Red : Control antigen 100ng
Purple : Antigen 10ng
Green : Antigen 50ng
Blue : Antigen 100ng
ICC/IF analysis of U251 cells using GTX60449 OTX2 antibody [1H12G8B2].
Green : OTX2
Red: Actin filaments
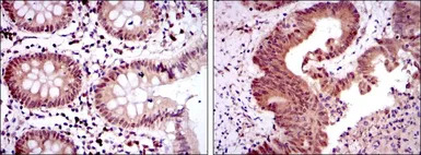
IHC-P analysis of colon tissue (left) and colon cancer tissue (right) using GTX60449 OTX2 antibody [1H12G8B2].
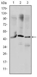
WB analysis of HepG2 (1), Jurkat (2), and NTERA-2 (3) cell lysate using GTX60449 OTX2 antibody [1H12G8B2].
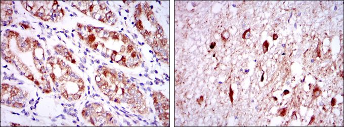
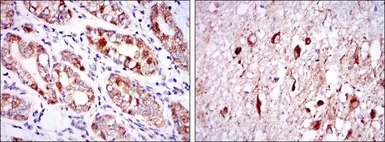
IHC-P analysis of human stomach tissue (left) and brain tissue (right) using GTX60449 OTX2 antibody [1H12G8B2].
WB analysis of human OTX2 (AA: 40-297) recombinant protein using GTX60449 OTX2 antibody [1H12G8B2].
风险提示:丁香通仅作为第三方平台,为商家信息发布提供平台空间。用户咨询产品时请注意保护个人信息及财产安全,合理判断,谨慎选购商品,商家和用户对交易行为负责。对于医疗器械类产品,请先查证核实企业经营资质和医疗器械产品注册证情况。
文献和实验Dual- and Triple-Color Fluorospot
, valuable, e.g., in studies of mucosa-derived cells or studies on newborns and children (5). Over the years, efforts to broaden the ELISPOT technique to include staining with substrates of two colors have been made, first for B cells secreting
A in two separate Eppies and equilibrate 3x with 500µl EBC-buffer (i.e.add EBC buffer,mix gently,spin down and remove supernatant) a.1x for antibody binding: add 20&RFP + 400micro;l µl EBC-buffer to equilibrated beads and incubate for 1h at 4˚C in 360˚ shaker b
Procedure for fixing and staining adherent cells for immunofluorescence
cells in PBS to remove fix reagent 6. Create a humid chamber consisting of a. Large culture dish b. Parafilm in center c. Wet kimwipes along edges 7. Prepare appropriate dilution of primary antibody in 5 animal serum + PBS a. Animal
技术资料暂无技术资料 索取技术资料






![CXCR3 antibody [N1], N-term](https://img1.dxycdn.com/2022/0328/011/5716039363217200453-14.jpg!wh200)

![CD133 antibody [6H10-F1-C11]](https://img1.dxycdn.com/2022/0329/825/9441046187677020453-14.jpg!wh200)


