相关产品推荐更多 >
万千商家帮你免费找货
0 人在求购买到急需产品
- 详细信息
- 文献和实验
- 技术资料
- 免疫原:
Carrier-protein conjugated synthetic peptide encompassing a sequence within the N-terminus region of human CXCR3. The exact sequence is proprietary.
- 亚型:
IgG
- 形态:
Liquid
- 保存条件:
Store as concentrated solution. Centrifuge briefly prior to opening vial. For short-term storage (1-2 weeks), store at 4ºC. For long-term storage, aliquot and store at -20ºC or below. Avoid multiple freeze-thaw cycles.
- 克隆性:
Polyclonal
- 标记物:
Unconjugated
- 适应物种:
Human
- 保质期:
12 months from the shipping date of the product.
- 抗原来源:
Human
- 目录编号:
GTX108145
- 级别:
Primary Antibodies
- 库存:
Available
- 供应商:
GeneTex
- 宿主:
Rabbit
- 应用范围:
WB, IHC-P
- 浓度:
1 mg/ml (Please refer to the vial label for the specific concentration.)
- 靶点:
CXCR3
- 抗体英文名:
CXCR3 antibody [N1], N-term
- 抗体名:
CXCR3 抗体 [N1], N-term
- 规格:
100 μl/25 μl
| 规格: | 100 μl | 产品价格: | ¥4000.0 |
|---|---|---|---|
| 规格: | 25 μl | 产品价格: | ¥1700.0 |
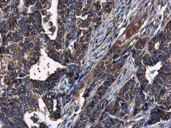
CXCR3 antibody [N1], N-term detects CXCR3 protein at cytoplasm and membrane in human cervical carcinoma by immunohistochemical analysis.
Sample: Paraffin-embedded human cervical carcinoma.
CXCR3 antibody [N1], N-term (GTX108145) diluted at 1:500.
Antigen Retrieval: Citrate buffer, pH 6.0, 15 min
CXCR3 antibody [N1], N-term detects CXCR3 protein at cell membrane in human cervical carcinoma by immunohistochemical analysis.
Sample: Paraffin-embedded human cervical carcinoma.
CXCR3 antibody [N1], N-term (GTX108145) diluted at 1:500.
Antigen Retrieval: Citrate buffer, pH 6.0, 15 min
CXCR3 antibody detects CXCR3 protein by Western blot analysis. Various whole cell extracts (30 μg) were separated by 10% SDS-PAGE, and the membrane was blotted with CXCR3 antibody (GTX108145) diluted at a dilution of 1:1000.
风险提示:丁香通仅作为第三方平台,为商家信息发布提供平台空间。用户咨询产品时请注意保护个人信息及财产安全,合理判断,谨慎选购商品,商家和用户对交易行为负责。对于医疗器械类产品,请先查证核实企业经营资质和医疗器械产品注册证情况。
文献和实验Shen PF et al., Prostate 2014 (PMID:24644030)
In the field of therapeutic recombinant proteins, monoclonal antibodies (mAbs) have achieved a rising success with more than 30 mAbs that have reached the market in the past 20 years. From a structural standpoint, one of the most important
人CXCR3 ( CXCR - 3 )ELISA 试剂盒 ( 用于血清、血浆、细胞培养上清液和其它生物体液内 ) 原理 本实验采用双抗体夹心 ABC-ELISA 法。用抗人趋化因子受体-3( CXCR3 )单抗包被于酶标板上,标准品和样品中的 CXCR3与单抗结合,加入生物素化的抗人 CXCR3 ,形成免疫复合物连接在板上,辣根过氧化物酶标记的 Streptavidin 与生物素结合,加入
in pEGFP-N1 is between the immediate early promoter of CMV (PCMV IE ) and the EGFP coding sequences. Genes cloned into the MCS will be expressed as fusions to the N-terminus of EGFP if they are in the same reading frame as EGFP and there are no intervening
技术资料暂无技术资料 索取技术资料








![Cav beta 2 antibody [S8B-1]](https://img1.dxycdn.com/2022/0328/597/9478652790214400453-14.jpg!wh200)
![MEKK3 antibody [N3C2], Internal](https://img1.dxycdn.com/2022/0328/070/7582500726768200453-14.jpg!wh200)

