相关产品推荐更多 >
万千商家帮你免费找货
0 人在求购买到急需产品
- 详细信息
- 文献和实验
- 技术资料
- 免疫原:
Purified recombinant fragment of human PDK1 expressed in E. Coli.
- 亚型:
IgG1
- 形态:
Liquid
- 保存条件:
Store as concentrated solution. Centrifuge briefly prior to opening vial. For short-term storage (1-2 weeks), store at 4ºC. For long-term storage, aliquot and store at -20ºC or below. Avoid multiple freeze-thaw cycles.
- 克隆性:
Monoclonal
- 标记物:
Unconjugated
- 适应物种:
Human, Mouse, Rat, Monkey
- 保质期:
12 months from the shipping date of the product.
- 抗原来源:
Human
- 目录编号:
GTX60386
- 级别:
Primary Antibodies
- 库存:
Available
- 供应商:
GeneTex
- 宿主:
Mouse
- 应用范围:
WB, ICC/IF, IHC-P, FACS, ELISA
- 靶点:
Pyruvate dehydrogenase kinase 1 / PDK1
- 抗体英文名:
Pyruvate dehydrogenase kinase 1 / PDK1 antibody [4A11]
- 抗体名:
Pyruvate dehydrogenase kinase 1 / PDK1 抗体 [4A11]
- 规格:
100 μl
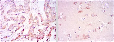
IHC-P analysis of breast cancer tissue (left) and brain tissue (right) using GTX60386 PDK1 antibody [4A11].
WB analysis of NIH3T3 (1), HeLa (2), Jurkat (3), HepG2 (4), PC-12 (5), and Cos7 (6) cell lysate using GTX60386 PDK1 antibody [4A11].
ICC/IF analysis of HeLa cells using GTX60386 PDK1 antibody [4A11].
Green : PDK1
Blue: DRAQ5 fluorescent DNA dye
Red: Actin filaments
FACS analysis of Lovo cells using GTX60386 PDK1 antibody [4A11].
Green : PDK1
Purple : negative control
风险提示:丁香通仅作为第三方平台,为商家信息发布提供平台空间。用户咨询产品时请注意保护个人信息及财产安全,合理判断,谨慎选购商品,商家和用户对交易行为负责。对于医疗器械类产品,请先查证核实企业经营资质和医疗器械产品注册证情况。
文献和实验Sharma R et al., J Exp Clin Cancer Res 2021 (PMID:34099013)
secondary antibody review -- data from 99 publications
cytometry used as a control to detect cell responses targeted antigen 7 Alexa Fluor 488 7 Cy3 8 goat IgG Alexa Fluor 488 1:2000 detect antibody binding in human embryonic kidney 293T cells Invitrogen 9 donkey
Steady State ATPase Assays Coupled Enzyme System
, in Tris-HCl. Avoid using phosphate buffers for ATPase assays. 2. The coupled enzyme ATPase assay is based on the conversion of phosphoenolpyruvate (PEP) to pyruvate by pyruvate kinase (PK) coupled to the conversion
[资源] 所有的看家基因(housekeeping genes)列表+引物设计服务
(GAPD), mRNA 828 *NM_000291 Homo sapiens phosphoglycerate kinase 1 (PGK1), mRNA 2727 *NM_005566 Homo sapiens lactate dehydrogenase A (LDHA), mRNA 2105 *NM_002954 Homo sapiens ribosomal protein S27a (RPS27A), mRNA 4156 *NM_000981 Homo sapiens
技术资料暂无技术资料 索取技术资料






![Influenza A virus M2 (matrix protein) antibody [HL1856]](https://img1.dxycdn.com/2023/0605/086/4243223588011755661-14.jpg!wh200)
![PDGF Receptor alpha antibody [JF104-6]](https://img1.dxycdn.com/2022/0328/205/7859817764766700453-14.jpg!wh200)



