相关产品推荐更多 >
万千商家帮你免费找货
0 人在求购买到急需产品
- 详细信息
- 文献和实验
- 技术资料
- 免疫原:
Recombinant fusion protein containing a sequence corresponding to amino acids 401-600 of human PIK3CA (NP_006209.2).
- 亚型:
IgG
- 形态:
Liquid
- 保存条件:
Store as concentrated solution. Centrifuge briefly prior to opening vial. For short-term storage (1-2 weeks), store at 4ºC. For long-term storage, aliquot and store at -20ºC or below. Avoid multiple freeze-thaw cycles.
- 克隆性:
Polyclonal
- 标记物:
Unconjugated
- 适应物种:
Human, Mouse, Rat
- 保质期:
12 months from the shipping date of the product.
- 抗原来源:
Human
- 目录编号:
GTX55747
- 级别:
Primary Antibodies
- 库存:
Available
- 供应商:
GeneTex
- 宿主:
Rabbit
- 应用范围:
WB, ICC/IF, IHC-P
- 浓度:
Batch dependent (Please refer to the vial label for the specific concentration.)
- 靶点:
PI3 kinase p110 alpha
- 抗体英文名:
PI3 kinase p110 alpha antibody
- 抗体名:
PI3 kinase p110 alpha 抗体
- 规格:
100 μl
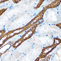
IHC-P analysis of rat kidney tissue using GTX55747 PI3 kinase p110 alpha antibody.
Dilution : 1:100
WB analysis of HeLa cell lysate using GTX55747 PI3 kinase p110 alpha antibody.
Dilution : 1:500
Loading : 25μg per lane
ICC/IF analysis of HeLa cells using GTX55747 PI3 kinase p110 alpha antibody.
Blue : DAPI
Dilution : 1:100
IHC-P analysis of human colon carcinoma tissue using GTX55747 PI3 kinase p110 alpha antibody.
Dilution : 1:100
ICC/IF analysis of NIH/3T3 cells using GTX55747 PI3 kinase p110 alpha antibody.
Blue : DAPI
Dilution : 1:100
IHC-P analysis of mouse kidney tissue using GTX55747 PI3 kinase p110 alpha antibody.
Dilution : 1:100
风险提示:丁香通仅作为第三方平台,为商家信息发布提供平台空间。用户咨询产品时请注意保护个人信息及财产安全,合理判断,谨慎选购商品,商家和用户对交易行为负责。对于医疗器械类产品,请先查证核实企业经营资质和医疗器械产品注册证情况。
文献和实验Lu R et al., Evid Based Complement Alternat Med 2022 (PMID:36387362)
的I型PI3K. 哺乳动物 细胞中Ι型PI3K又分为IA和IB两个亚型, 他们分别从酪氨酸激酶连接受体和G蛋白连接受体传递信号.IA 型PI3K是由催化亚单位p110和调节亚单位p85所组成的二聚体蛋白, 具有类脂激酶和蛋白激酶的双重活性.PI3K通过两种方式激活, 一种是与具有磷酸化酪氨酸残基的生长因子受体或连接蛋白相互作用, 引起二聚体构象改变而被激活; 另一种是通过Ras和p110直接结合导致PI3K的活化. PI3K激活的结果是在质膜上产生第二信使PIP3, PIP3与细胞内含有PH结构
存在于胞质中,等待适当的信号激活。P13K通过两种方式激活:一种是与具有磷酸化酪氨酸残基的生长因子受体或连接蛋白相互作用,引起二聚体构象改变而被激活。对RTK而言,这种信号来自于配体介导的激酶的活化,结果使位于细胞膜内表面的酪氨酸残基磷酸化。磷酸化的酪氨酸残基立即成为细胞内信号蛋白的结合位点,通过与P85的SH2结构域结合而把P85―P110复合物聚集到细胞膜上并使之活化。另一种是通过Ras和Pll0直接结合,导致P13K的活化。PI3K被激活后,在细胞膜上生成第二信使PIPa,PIPa与细胞内含有PH
tyrosine kinases (RTKs) and the concomitant assembly of receptor–PI3K complexes. These complexes localize at the membrane where the p110 subunit of PI3K catalyses the conversion of PtdIns(4,5)P2 (PIP2) to PtdIns(3,4,5)P3 (PIP3). PIP3 serves as a second
技术资料暂无技术资料 索取技术资料







![CD28 antibody [CD28.2] (PerCP)](https://img1.dxycdn.com/2022/0328/523/4339583064806500453-14.gif!wh200)
![Valyl tRNA synthetase antibody [N1N2], N-term](https://img1.dxycdn.com/2022/0328/415/8393341278080300453-14.jpg!wh200)


