相关产品推荐更多 >
万千商家帮你免费找货
0 人在求购买到急需产品
- 详细信息
- 文献和实验
- 技术资料
- 免疫原:
A synthetic methylated peptide corresponding to residues surrounding Arg17 of human histone H3
- 亚型:
IgG
- 形态:
Liquid
- 保存条件:
Store as concentrated solution. Centrifuge briefly prior to opening vial. For short-term storage (1-2 weeks), store at 4ºC. For long-term storage, aliquot and store at -20ºC or below. Avoid multiple freeze-thaw cycles.
- 克隆性:
Polyclonal
- 标记物:
Unconjugated
- 适应物种:
Human, Mouse, Rat
- 保质期:
12 months from the shipping date of the product.
- 抗原来源:
Human
- 目录编号:
GTX55484
- 级别:
Primary Antibodies
- 库存:
Available
- 供应商:
GeneTex
- 宿主:
Rabbit
- 应用范围:
WB, ICC/IF, IHC-P, Dot
- 浓度:
Batch dependent (Please refer to the vial label for the specific concentration.)
- 靶点:
Histone H3R17me2 (di-methyl Arg17)
- 抗体英文名:
Histone H3R17me2 (di-methyl Arg17) antibody
- 抗体名:
Histone H3R17me2 (di-methyl Arg17) 抗体
- 规格:
100 μl
WB analysis of various sample lysates using GTX55484 Histone H3R17me2 (di-methyl Arg17) antibody.
Loading : 25μg per lane
ICC/IF analysis of 293T cells using GTX55484 Histone H3R17me2 (di-methyl Arg17) antibody.
Blue : DAPI
ICC/IF analysis of HeLa cells using GTX55484 Histone H3R17me2 (di-methyl Arg17) antibody.
Blue : DAPI
Dilution : 1:100
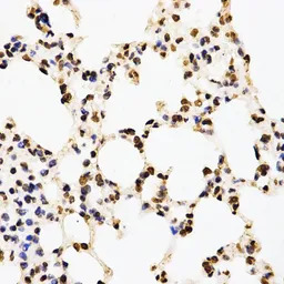
IHC-P analysis of rat lung tissue using GTX55484 Histone H3R17me2 (di-methyl Arg17) antibody.
Dilution : 1:200
Dot blot analysis of all sorts of methylation peptides using GTX55484 Histone H3R17me2 (di-methyl Arg17) antibody.
IHC-P analysis of human lung cancer tissue using GTX55484 Histone H3R17me2 (di-methyl Arg17) antibody.
Dilution : 1:200
IHC-P analysis of mouse lung tissue using GTX55484 Histone H3R17me2 (di-methyl Arg17) antibody.
Dilution : 1:200
风险提示:丁香通仅作为第三方平台,为商家信息发布提供平台空间。用户咨询产品时请注意保护个人信息及财产安全,合理判断,谨慎选购商品,商家和用户对交易行为负责。对于医疗器械类产品,请先查证核实企业经营资质和医疗器械产品注册证情况。
文献和实验Methyl DNA Immunoprecipitation
can be done. This methylation analysis is highly specific due to the use of a well-characterized monoclonal antibody and each IP is directly quality controlled: two essential keys for reliable results. In addition, the kit protocol is fast and user-friendly. The METHYL kit
组蛋白是和染色体相联的最主要的蛋白质。它的作用是和染色体中的 DNA 的负电荷结合。组蛋白是比较小的碱性蛋白;在细胞正常 pH 值时,组蛋白带有正电荷,这样它们就可以和 DNA 结合,这个正电荷主要存在于碱性氨基酸 Lys 和 Arg 的 -NH3 上。其实,组蛋白约含 25% 的 Arg 和 Lys 。比其他蛋白的 Arg , Lys 的含量都多。和真核 DNA 结合的有 5 种类型的组蛋白: H1 , H2A , H2B , H3
Histone lysine and arginine methylation involved in gene activation and silencing is dynamically regulated. However, partly limited to the research technologies previously available, the dynamics of global histone methylation on a site
技术资料暂无技术资料 索取技术资料





![SP1 antibody [JF0950]](https://img1.dxycdn.com/2022/0328/541/3469801829516700453-14.jpg!wh200)





