相关产品推荐更多 >
万千商家帮你免费找货
0 人在求购买到急需产品
- 详细信息
- 文献和实验
- 技术资料
- 免疫原:
KLH-conjugated synthetic peptide encompassing a sequence within the C-term region of p38 MAPK. The exact sequence is proprietary.
- 亚型:
IgG
- 形态:
Liquid
- 保存条件:
Store as concentrated solution. Centrifuge briefly prior to opening vial. For short-term storage (1-2 weeks), store at 4ºC. For long-term storage, aliquot and store at -20ºC or below. Avoid multiple freeze-thaw cycles.
- 克隆性:
Polyclonal
- 标记物:
Unconjugated
- 适应物种:
Human, Mouse
- 保质期:
12 months from the shipping date of the product.
- 抗原来源:
Human
- 目录编号:
GTX55020
- 级别:
Primary Antibodies
- 库存:
Available
- 供应商:
GeneTex
- 宿主:
Rabbit
- 应用范围:
WB, IHC-P
- 浓度:
Batch dependent (Please refer to the vial label for the specific concentration.)
- 靶点:
p38 MAPK (phospho Tyr323)
- 抗体英文名:
p38 MAPK (phospho Tyr323) antibody
- 抗体名:
p38 MAPK (phospho Tyr323) 抗体
- 规格:
100 μl
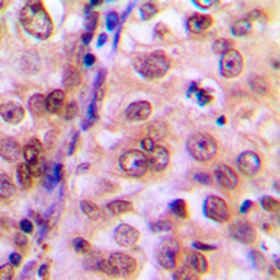
IHC-P analysis of formalin fixed human breast cancer tissue section using GTX55020 p38 MAPK (phospho Tyr323) antibody.
Antigen retrieval : Heat mediated antigen retrieval with sodium citrate buffer (pH 6.0)
WB analysis of UV-treated HepG2 (A), UV-treated NIH3T3 (B) whole cell lysates using GTX55020 p38 MAPK (phospho Tyr323) antibody.
风险提示:丁香通仅作为第三方平台,为商家信息发布提供平台空间。用户咨询产品时请注意保护个人信息及财产安全,合理判断,谨慎选购商品,商家和用户对交易行为负责。对于医疗器械类产品,请先查证核实企业经营资质和医疗器械产品注册证情况。
文献和实验kinase is KIR 3.1 and have developed a phospho-selective antibody against the Y12 motif of this channel. Much like KOR and p38 MAP kinase, phosphorylation of this potassium channel increases following repeated stress. The following chapter discusses
【求助】请问如何检测RAS、MAPK、p38、p21 ?参与者:liqunfeng请问如何检测RAS、MAPK、p38、p21??谁帮帮我啊参与者:xiaolx你在网上搜搜别人的实验中怎么检测的,不就知道了。p38,我师姐做过免疫组化。参与者:zhangyuelin1999检测信号通路现在用的比较多的方法应该是Western blot,它是测细胞中的蛋白含量(半定量)的最好方法了,免疫组化检测是定性的!如果时间充裕的话,你可以两种方法都可以做的。RAS:Ras蛋白是细胞内的一种小分子GTP结合
yy59410 在下在做MAPK通路对皮肤成纤维细胞凋亡诱导的作用,我分别用p38,JNK,ERK相应的通路抑制剂阻断相应的通路后看给药后细胞的情况,发现这些通路的阻断并不能阻断药物对细胞的凋亡诱导,想请教坛子里的高手们这是怎么回事?我接下来需要做什么? 希望大侠们赐教。不甚感激啊。 chuckdouble yy59410 wrote: 在下在做MAPK通路对皮肤成纤维
技术资料暂无技术资料 索取技术资料







![S100A9 antibody [S100A9/1011]](https://img1.dxycdn.com/2022/0328/972/9508820142131700453-14.jpg!wh200)

![CDH16 antibody [CDH16/1532R]](https://img1.dxycdn.com/2022/0328/125/9875476053610700453-14.jpg!wh200)
