相关产品推荐更多 >
万千商家帮你免费找货
0 人在求购买到急需产品
- 详细信息
- 技术资料
- 免疫原:
Peptide CPEPGHKGMDYRDWVRR, corresponding to amino acid residues 16-32 (Intracellular, N-terminus) of mouse Orai2 (Accession : Q8BH10).
- 亚型:
IgG
- 形态:
Liquid
- 保存条件:
Store as concentrated solution. Centrifuge briefly prior to opening vial. For short-term storage (1-2 weeks), store at 4ºC. For long-term storage, aliquot and store at -20ºC or below. Avoid multiple freeze-thaw cycles.
- 克隆性:
Polyclonal
- 标记物:
Unconjugated
- 适应物种:
Human, Mouse, Rat
- 保质期:
12 months from the shipping date of the product.
- 抗原来源:
Mouse
- 目录编号:
GTX54767
- 级别:
Primary Antibodies
- 库存:
Available
- 供应商:
GeneTex
- 宿主:
Rabbit
- 应用范围:
WB, IHC-P
- 浓度:
0.8 mg/ml (Please refer to the vial label for the specific concentration.)
- 靶点:
ORAI2
- 抗体英文名:
ORAI2 antibody
- 抗体名:
ORAI2 抗体
- 规格:
50 μl
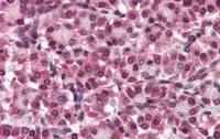
IHC-P analysis of rat lung tissue using GTX54767 ORAI2 antibody. Strong and specific staining is evident in bronchiolar epithelium (blue) and alveoli walls (red). Hematoxilin is used as the counterstain.
Dilution : 1:100
WB analysis of HL-60 (lanes 1 and 3) and Jurkat (lanes 2 and 4) cell lysates using GTX54767 ORAI2 antibody preincubated with or without immunogen peptide.
Dilution : 1:200
风险提示:丁香通仅作为第三方平台,为商家信息发布提供平台空间。用户咨询产品时请注意保护个人信息及财产安全,合理判断,谨慎选购商品,商家和用户对交易行为负责。对于医疗器械类产品,请先查证核实企业经营资质和医疗器械产品注册证情况。
技术资料暂无技术资料 索取技术资料







![MCM7 antibody [SPM379]](https://img1.dxycdn.com/2022/0328/075/4493036670880700453-14.jpg!wh200)
![TIMP2 antibody [3A4]](https://img1.dxycdn.com/2022/0328/027/0694103308778300453-14.jpg!wh200)
![Dectin-1 antibody [GE2] (FITC)](https://img1.dxycdn.com/2022/0328/359/0295894720644400453-14.jpg!wh200)
