相关产品推荐更多 >
万千商家帮你免费找货
0 人在求购买到急需产品
- 详细信息
- 文献和实验
- 技术资料
- 免疫原:
Synthetic peptide derived from an internal region of the human Syndecan-1 protein
- 亚型:
IgG
- 形态:
Liquid
- 保存条件:
Store as concentrated solution. Centrifuge briefly prior to opening vial. For short-term storage (1-2 weeks), store at 4ºC. For long-term storage, aliquot and store at -20ºC or below. Avoid multiple freeze-thaw cycles.
- 克隆性:
Polyclonal
- 标记物:
Unconjugated
- 适应物种:
Human, Mouse, Rat
- 保质期:
12 months from the shipping date of the product.
- 抗原来源:
Human
- 目录编号:
GTX54537
- 级别:
Primary Antibodies
- 库存:
Available
- 供应商:
GeneTex
- 宿主:
Rabbit
- 应用范围:
WB, ICC/IF, IHC-P, ELISA
- 浓度:
0.25 mg/ml (Please refer to the vial label for the specific concentration.)
- 靶点:
Syndecan-1 / CD138
- 抗体英文名:
Syndecan-1 / CD138 antibody
- 抗体名:
Syndecan-1 / CD138 抗体
- 规格:
100 μg
WB analysis of 20 μg of MDA-MB-231 (lane1) and Caco-2 (lane2) lysate using GTX54537 Syndecan-1 / CD138 antibody.
Dilution : 1-2 μg/ml
IHC-P analysis of human bone marrow tissue using GTX54537 Syndecan-1 / CD138 antibody.
IHC-P analysis of human skin tissue using GTX54537 Syndecan-1 / CD138 antibody.
Right : Primary antibody
Left : Negative control without primary antibody
Antigen retrieval : 10mM sodium citrate (pH 6.0), microwaved for 8-15 min
Dilution : 1:100
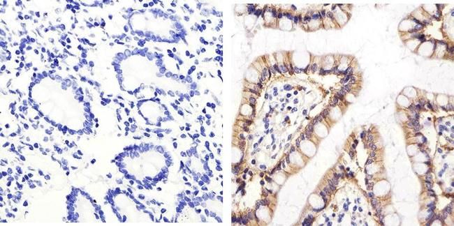
IHC-P analysis of human small intestine tissue using GTX54537 Syndecan-1 / CD138 antibody.
Right : Primary antibody
Left : Negative control without primary antibody
Antigen retrieval : 10mM sodium citrate (pH 6.0), microwaved for 8-15 min
Dilution : 1:100
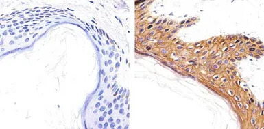
IHC-P analysis of human skin tissue using GTX54537 Syndecan-1 / CD138 antibody.
Right : Primary antibody
Left : Negative control without primary antibody
Antigen retrieval : 10mM sodium citrate (pH 6.0), microwaved for 8-15 min
Dilution : 1:100
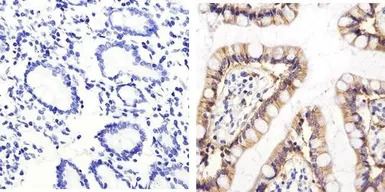
IHC-P analysis of human small intestinal tissue using GTX54537 Syndecan-1 / CD138 antibody.
Right : Primary antibody
Left : Negative control without primary antibody
Antigen retrieval : 10mM sodium citrate (pH 6.0), microwaved for 8-15 min
Dilution : 1:100
WB analysis of (A) SW480, (B) T47D, and (C) PC-3 cell lysates using GTX54537 Syndecan-1 / CD138 antibody.
风险提示:丁香通仅作为第三方平台,为商家信息发布提供平台空间。用户咨询产品时请注意保护个人信息及财产安全,合理判断,谨慎选购商品,商家和用户对交易行为负责。对于医疗器械类产品,请先查证核实企业经营资质和医疗器械产品注册证情况。
文献和实验Notes on Making Rat x Y3 Monoclonal Antibody Producing Hybridomas
Although Y3/Ag1.2.3 has its own myeloma light chain, their are numerous characteristics that make this a better parent line for making hybridomas than the 'Y0' chain loss variants or using NS0 to make rat x mouse hybrids. These are: a) Hybridomas
人可溶性CD138分子(sCD138)ELISA试剂盒 说明书
上海西唐生物科技有限公司 021-55229872, 65333639 www.westang.com 人可溶性CD138 分子 ( sCD138 )ELISA 试剂盒 ( 用于血清、血浆、细胞培养上清液和生物体液内 ) 原理 本实验采用双抗体夹心 ABC-ELISA 法。用抗人 sCD138/Syndecan-1 单抗包被于酶标板上,标准品和样品中的 sCD138与单抗结合
There is an increasing interest in the preparation of rat � rat hybridomas, because they have been found to be more stable in culture than mouse hybridomas and they secrete consistently high levels (10 �g/mL and above) of monoclonal antibody
技术资料暂无技术资料 索取技术资料






![Dendritic Cell Marker antibody [MAB0801]](https://img1.dxycdn.com/2022/0328/720/8259965058399400453-14.jpg!wh200)


![p75 NGF Receptor / CD271 antibody [2F1C2]](https://img1.dxycdn.com/2022/0328/264/0502571332867500453-14.jpg!wh200)

