相关产品推荐更多 >
万千商家帮你免费找货
0 人在求购买到急需产品
- 详细信息
- 文献和实验
- 技术资料
- 免疫原:
Purified internal fragment of human recombinant PAX5 expressed in E. coli
- 亚型:
IgG
- 形态:
Liquid
- 保存条件:
Store as concentrated solution. Centrifuge briefly prior to opening vial. For short-term storage (1-2 weeks), store at 4ºC. For long-term storage, aliquot and store at -20ºC or below. Avoid multiple freeze-thaw cycles.
- 克隆性:
Polyclonal
- 标记物:
Unconjugated
- 适应物种:
Human, Mouse
- 保质期:
12 months from the shipping date of the product.
- 抗原来源:
Human
- 目录编号:
GTX54532
- 级别:
Primary Antibodies
- 库存:
Available
- 供应商:
GeneTex
- 宿主:
Rabbit
- 应用范围:
WB, ICC/IF, IHC-P, FACS, IP
- 浓度:
1 mg/ml (Please refer to the vial label for the specific concentration.)
- 靶点:
PAX5
- 抗体英文名:
PAX5 antibody
- 抗体名:
PAX5 抗体
- 规格:
100 μg
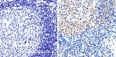
IHC-P analysis of human tonsil tissue using GTX54532 PAX5 antibody.
Right : Primary antibody
Left : Negative control without primary antibody
Antigen retrieval : 10mM sodium citrate (pH 6.0), microwaved for 8-15 min
Dilution : 1:200
WB analysis of 75μg of whole cell lysates from PAX5-expressing B cell lymphoma-derived cell lines, negative control Jurkat cells using GTX54532 PAX5 antibody.
Dilution : 1:1000
IP analysis of Raji cell lysates using GTX54532 PAX5 antibody.
IP reaction : 2μg antibody / 750μg lysate
Dilution : 1:1000
ICC/IF analysis of Ramos cells using GTX54532 PAX5 antibody. Cells were probed without (left) or with(right) an antibody.
Green : Primary antibody
Blue : Nuclei
Fixation : Formalin
Permeabilization : 0.1% Triton X-100 in TBS for 5-10 minute
Dilution : 1:100 and incubated overnight at 4ºC
ICC/IF analysis of Ramos and negative control Jurkat cells using GTX54532 PAX5 antibody.
Green : Primary antibody
Blue : Nuclei
Red : Actin
Fixation : Formalin
Permeabilization : 0.1% Triton X-100 in TBS for 10 minutes
Dilution : 1:100 for at least 1 hour at room temperature
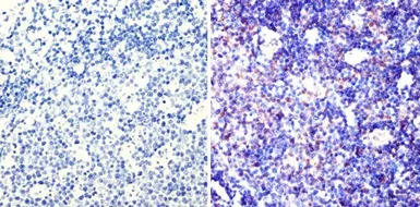
IHC-P analysis of mouse lymph node tissue using GTX54532 PAX5 antibody.
Right : Primary antibody
Left : Negative control without primary antibody
Antigen retrieval : 10mM sodium citrate (pH 6.0), microwaved for 8-15 min
Dilution : 1:100
ICC/IF analysis of Raji cells using GTX54532 PAX5 antibody. Cells were probed without (left) or with(right) an antibody.
Green : Primary antibody
Blue : Nuclei
Fixation : Formalin
Permeabilization : 0.1% Triton X-100 in TBS for 5-10 minute
Dilution : 1:100 and incubated overnight at 4ºC
FACS analysis of permeabilized Ramos cells (red histogram) or PBS alone control(black histogram) using GTX54532 PAX5 antibody.
Fixation : 4% formaldehyde
Dilution : 1:50
风险提示:丁香通仅作为第三方平台,为商家信息发布提供平台空间。用户咨询产品时请注意保护个人信息及财产安全,合理判断,谨慎选购商品,商家和用户对交易行为负责。对于医疗器械类产品,请先查证核实企业经营资质和医疗器械产品注册证情况。
文献和实验Chan YL et al., Cancers (Basel) 2020 (PMID:32650570)
Generation of Antibody Molecules Through Antibody Engineering
been overcome to a large extent using genetic-engineering techniques to produce chimeric mouse/human and completely human antibodies. Such an approach is particularly suitable because of the domain structure of the antibody molecule ( 2 ), where functional
The importance of antibody molecules was first recognized in the 1890s, when it was shown that immunity to tetanus and diphtheria was caused by antibodies against the bacterial exotoxins (1 ). Around the same time, it was shown that antisera
General comments: Antibodies, like most proteins, do not like to be freeze-thawed. Avoid repetitive freezing of your solution. The best way to store your antibody is to keep a high protein concentration (>1 mg/ml), add some protease
技术资料暂无技术资料 索取技术资料






![PSA antibody [IHC654]](https://img1.dxycdn.com/2022/0328/967/9837609085955600453-14.jpg!wh200)
![Langerin antibody [12D6]](https://img1.dxycdn.com/2022/0328/222/7269100708197700453-14.jpg!wh200)
![ZAP70 antibody [ZAP70/3921R]](https://img1.dxycdn.com/2022/0328/728/0211182451689700453-14.jpg!wh200)
![ODC antibody [ODC1/487]](https://img1.dxycdn.com/2022/0328/786/6544391619970700453-14.jpg!wh200)

