相关产品推荐更多 >
万千商家帮你免费找货
0 人在求购买到急需产品
- 详细信息
- 文献和实验
- 技术资料
- 免疫原:
Recombinant fusion protein containing a sequence corresponding to amino acids 1-260 of human MAOA (NP_000231.1).
- 亚型:
IgG
- 形态:
Liquid
- 保存条件:
Store as concentrated solution. Centrifuge briefly prior to opening vial. For short-term storage (1-2 weeks), store at 4ºC. For long-term storage, aliquot and store at -20ºC or below. Avoid multiple freeze-thaw cycles.
- 克隆性:
Polyclonal
- 标记物:
Unconjugated
- 适应物种:
Human, Mouse, Rat
- 保质期:
12 months from the shipping date of the product.
- 抗原来源:
Human
- 目录编号:
GTX54351
- 级别:
Primary Antibodies
- 库存:
Available
- 供应商:
GeneTex
- 宿主:
Rabbit
- 应用范围:
WB, ICC/IF, IHC-P
- 浓度:
Batch dependent (Please refer to the vial label for the specific concentration.)
- 靶点:
Monoamine Oxidase A
- 抗体英文名:
Monoamine Oxidase A antibody
- 抗体名:
Monoamine Oxidase A 抗体
- 规格:
100 μl
IHC-P analysis of mouse brain tissue using GTX54351 Monoamine Oxidase A antibody.
Dilution : 1:100
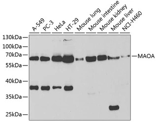
WB analysis of various sample lysates using GTX54351 Monoamine Oxidase A antibody.
Dilution : 1:1000
Loading : 25μg per lane
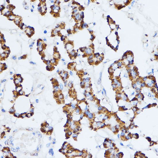
IHC-P analysis of human thyroid cancer tissue using GTX54351 Monoamine Oxidase A antibody.
Dilution : 1:100
ICC/IF analysis of C6 cells using GTX54351 Monoamine Oxidase A antibody.
Blue : DAPI
Dilution : 1:100
ICC/IF analysis of NIH/3T3 cells using GTX54351 Monoamine Oxidase A antibody.
Blue : DAPI
Dilution : 1:100
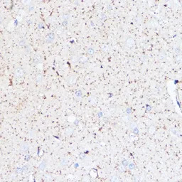
IHC-P analysis of rat brain tissue using GTX54351 Monoamine Oxidase A antibody.
Dilution : 1:100
风险提示:丁香通仅作为第三方平台,为商家信息发布提供平台空间。用户咨询产品时请注意保护个人信息及财产安全,合理判断,谨慎选购商品,商家和用户对交易行为负责。对于医疗器械类产品,请先查证核实企业经营资质和医疗器械产品注册证情况。
文献和实验Monoamine oxidase (MAO; EC 1.4:3.4; amine: oxygen oxidoreductase; deaminating; flavine-containing) is an enzyme that oxidizes a variety of monoamine neurotransmitters and neuromodulators, as well as exogenous bioactive monoamines
为催化单胺氧化脱氨反应的酶。缩写 MAO,也有称为含黄素胺氧化酶的。 EC1. 4. 3. 4。作用于一级胺及其甲基化的二、三级胺,也作用于长链的二胺。对所谓生物胺,即酪胺、儿茶酚胺、 5-羟色胺、去甲肾上腺素、肾上腺素等也有作用。 RCH2 NH2 + 02 H2 0→ RCHO+ NH3 + H2 O2 多见于脊椎动物的各种器官,特别是分泌腺、脑、肝脏,但在无脊椎动物、豆类的芽等植物中也存在。在细胞内存在于线粒体外膜上,是不溶
Methods for the Detection of D-Amino-Acid Oxidase
Abstract Four methods (an enzyme activity assay, western blotting, RT-PCR, and northern hybridization) to detect the enzyme D-amino-acid oxidase are described. Introduction
技术资料暂无技术资料 索取技术资料







![p38 MAPK (phospho Thr180/Tyr182) antibody [RM243]](https://img1.dxycdn.com/2022/0328/464/7638077632443400453-14.jpg!wh200)



