相关产品推荐更多 >
万千商家帮你免费找货
0 人在求购买到急需产品
- 详细信息
- 文献和实验
- 技术资料
- 免疫原:
Recombinant fusion protein containing a sequence corresponding to amino acids 1-240 of human LCK (NP_001036236.1).
- 亚型:
IgG
- 形态:
Liquid
- 保存条件:
Store as concentrated solution. Centrifuge briefly prior to opening vial. For short-term storage (1-2 weeks), store at 4ºC. For long-term storage, aliquot and store at -20ºC or below. Avoid multiple freeze-thaw cycles.
- 克隆性:
Polyclonal
- 标记物:
Unconjugated
- 适应物种:
Human, Mouse, Rat
- 保质期:
12 months from the shipping date of the product.
- 抗原来源:
Human
- 目录编号:
GTX54287
- 级别:
Primary Antibodies
- 库存:
Available
- 供应商:
GeneTex
- 宿主:
Rabbit
- 应用范围:
WB, IHC-P
- 浓度:
Batch dependent (Please refer to the vial label for the specific concentration.)
- 靶点:
Lck
- 抗体英文名:
Lck antibody
- 抗体名:
Lck 抗体
- 规格:
100 μl
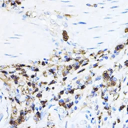
IHC-P analysis of mouse spleen tissue using GTX54287 Lck antibody.
Dilution : 1:100
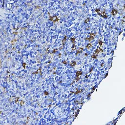
IHC-P analysis of rat spleen tissue using GTX54287 Lck antibody.
Dilution : 1:100
WB analysis of mouse thymus tissue lysate using GTX54287 Lck antibody.
Dilution : 1:1000
Loading : 25μg per lane
WB analysis of various sample lysates using GTX54287 Lck antibody.
Dilution : 1:1000
Loading : 25μg per lane
IHC-P analysis of human esophageal cancer tissue using GTX54287 Lck antibody.
Dilution : 1:100
风险提示:丁香通仅作为第三方平台,为商家信息发布提供平台空间。用户咨询产品时请注意保护个人信息及财产安全,合理判断,谨慎选购商品,商家和用户对交易行为负责。对于医疗器械类产品,请先查证核实企业经营资质和医疗器械产品注册证情况。
文献和实验两只小密封 不好意思,刚开始新的研究方向,涉及到要用基因敲除小鼠模型。有若干不懂的名词求助: 除题目上的问题外,还有类似Egr2 f/f CD4 -/- (右上角的f和-分别代表什么意思呀?有时候还是+/-)。不知道我得问题大家看懂了没有。。。。。实在是汗。在线等答案。谢谢啦!! laddcat123 Egr2 f/f CD4 -/-: f代表是条件性沉默,利用Cre蛋白可以使其沉默
Generation of Antibody Molecules Through Antibody Engineering
been overcome to a large extent using genetic-engineering techniques to produce chimeric mouse/human and completely human antibodies. Such an approach is particularly suitable because of the domain structure of the antibody molecule ( 2 ), where functional
The importance of antibody molecules was first recognized in the 1890s, when it was shown that immunity to tetanus and diphtheria was caused by antibodies against the bacterial exotoxins (1 ). Around the same time, it was shown that antisera
技术资料暂无技术资料 索取技术资料






![IGF2BP2 antibody [4F7]](https://img1.dxycdn.com/2022/0328/682/9437483447938500453-14.jpg!wh200)

![TNNI1 antibody [AT36E7]](https://img1.dxycdn.com/2022/0328/058/2446916462020500453-14.jpg!wh200)

