相关产品推荐更多 >
万千商家帮你免费找货
0 人在求购买到急需产品
- 详细信息
- 文献和实验
- 技术资料
- 免疫原:
Recombinant Mouse SCF-R extracellular domain
- 亚型:
IgG2
- 形态:
Liquid
- 保存条件:
Store as concentrated solution. Centrifuge briefly prior to opening vial. For short-term storage (1-2 weeks), store at 4ºC. For long-term storage, aliquot and store at -20ºC or below. Avoid multiple freeze-thaw cycles.
- 克隆性:
Monoclonal
- 标记物:
Unconjugated
- 适应物种:
Mouse
- 保质期:
12 months from the shipping date of the product.
- 抗原来源:
Mouse
- 目录编号:
GTX53117
- 级别:
Primary Antibodies
- 库存:
Available
- 供应商:
GeneTex
- 宿主:
Rat
- 应用范围:
WB, IHC-P
- 浓度:
200 μg/ml (Please refer to the vial label for the specific concentration.)
- 靶点:
c-Kit
- 抗体英文名:
c-Kit antibody [9D2]
- 抗体名:
c-Kit 抗体 [9D2]
- 规格:
100 μg
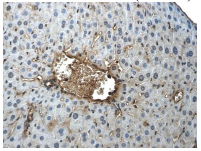
IHC-P analysis of liver tissue sections from LPS exposed mouse using GTX53117 c-Kit antibody [9D2].
风险提示:丁香通仅作为第三方平台,为商家信息发布提供平台空间。用户咨询产品时请注意保护个人信息及财产安全,合理判断,谨慎选购商品,商家和用户对交易行为负责。对于医疗器械类产品,请先查证核实企业经营资质和医疗器械产品注册证情况。
文献和实验A c-Kit (2B8) FITC-IgG2b, 01904D FITC-IgG2b Isotype control, 11184C Fc RII block (clone 2.4G2), 01241D Media: Heat inactivated FBS (56°C x 30 min) PBS + 2% heat-inactivated
【讨论】Innate immunity: 'Natural helper' cells identified
that produce high levels of TH2-type cytokines, support B-1 B cell proliferation and promote goblet cell hyperplasia in response to helminth infection. 原文 Innate production of TH2 cytokines by adipose tissue-associated c-Kit+Sca-1+ lymphoid cells Abstract
【申请上传】Current Protocols in Immunology
Surgical Procedures Unit 1.9 Removal of Lymphoid Organs Unit 1.10 Survival Surgery: Removal of the Spleen or Thymus Unit 1.11 Surgical Removal of Mouse Salivary Glands Chapter 2 Induction of Immune Responses Introduction Section I Assays for Antibody
技术资料暂无技术资料 索取技术资料







![Cytokeratin 18 antibody [Cocktail]](https://img1.dxycdn.com/2022/0328/484/3854153410620700453-14.jpg!wh200)

![Dengue virus Envelope protein antibody [HL2089]](https://custom.dxycdn.com/trademd/upload/pic/2013/11/12/A1383891150.jpg!small.t.1)
