相关产品推荐更多 >
万千商家帮你免费找货
0 人在求购买到急需产品
- 详细信息
- 文献和实验
- 技术资料
- 免疫原:
Peptide sequence around aa. 643~647 (R-L-S-Y-S) derived from human PKC delta.
- 亚型:
IgG
- 形态:
Liquid
- 保存条件:
Store as concentrated solution. Centrifuge briefly prior to opening vial. For short-term storage (1-2 weeks), store at 4ºC. For long-term storage, aliquot and store at -20ºC or below. Avoid multiple freeze-thaw cycles.
- 克隆性:
Polyclonal
- 标记物:
Unconjugated
- 适应物种:
Human, Rat
- 保质期:
12 months from the shipping date of the product.
- 抗原来源:
Human
- 目录编号:
GTX50605
- 级别:
Primary Antibodies
- 库存:
Available
- 供应商:
GeneTex
- 宿主:
Rabbit
- 应用范围:
WB, ICC/IF, IHC-P
- 浓度:
1 mg/ml (Please refer to the vial label for the specific concentration.)
- 靶点:
PKC delta
- 抗体英文名:
PKC delta antibody
- 抗体名:
PKC delta 抗体
- 规格:
100 μl
ICC/IF analysis of methanol-fixed HeLa cells using GTX50605 PKC delta antibody.
WB analysis of extracts from PC12 cells using GTX50605 PKC delta antibody.
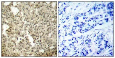
IHC-P analysis of human breast carcinoma tissue using GTX50605 PKC delta antibody.
Left : Primary antibody
Right : Primary antibody pre-incubated with the antigen specific peptide
风险提示:丁香通仅作为第三方平台,为商家信息发布提供平台空间。用户咨询产品时请注意保护个人信息及财产安全,合理判断,谨慎选购商品,商家和用户对交易行为负责。对于医疗器械类产品,请先查证核实企业经营资质和医疗器械产品注册证情况。
文献和实验licanming 我的实验是用VEGF处理细胞后测定细胞PKC激活水平,拟采用Western blot的方法,用ECL法检测,这样分析PKC激活程度结果国际上认可吗? 我在Cell Signaling Technology上,查到 2261 Phospho-(Ser) PKC Substrate Antibody W IP E D 9371 Phospho-PKC (pan) (betaII Ser660) Antibody W IP
上海西唐生物科技有限公司 021-55229872, 65333639 www.westang.com 大鼠蛋白激酶 C(PKC)ELISA 试剂盒 ( 用于血清、血浆、细胞培养上清液和其它生物体液内 ) 原理 本实验采用双抗体夹心 ABC-ELISA 法。用抗大鼠 PKC 单抗包被于酶标板上,标准品和样品中的 PKC 与单抗结合,加入生物素化的抗大鼠 PKC ,形成免疫复合物连接在板上,辣根
上海西唐生物科技有限公司 021-55229872, 65333639 www.westang.com 人蛋白激酶C (PKC)ELISA 试剂盒 ( 用于血清、血浆、细胞培养上清液和其它生物体液内 ) 原理 本实验采用双抗体夹心 ABC-ELISA 法。用抗人 PKC 单抗包被于酶标板上,标准品和样品中的 PKC与单抗结合,加入生物素化的抗人 PKC ,形成免疫复合物连接
技术资料暂无技术资料 索取技术资料






![IGF2 antibody [8H1]](https://img1.dxycdn.com/2022/0328/232/3022827805233500453-14.jpg!wh200)




