相关产品推荐更多 >
万千商家帮你免费找货
0 人在求购买到急需产品
- 详细信息
- 文献和实验
- 技术资料
- 免疫原:
This Protein G purified monoclonal antibody was produced in rats by repeated immunizations with full length recombinant mouse AHA1 protein followed by hybridoma development.
- 亚型:
IgG2a
- 形态:
Liquid
- 保存条件:
Store as concentrated solution. Centrifuge briefly prior to opening vial. For short-term storage (1-2 weeks), store at 4ºC. For long-term storage, aliquot and store at -20ºC or below. Avoid multiple freeze-thaw cycles.
- 克隆性:
Monoclonal
- 标记物:
Unconjugated
- 适应物种:
Human, Mouse, Chimpanzee
- 保质期:
12 months from the shipping date of the product.
- 抗原来源:
Mouse
- 目录编号:
GTX48775
- 级别:
Primary Antibodies
- 库存:
Available
- 供应商:
GeneTex
- 宿主:
Rat
- 应用范围:
WB, IHC-P, ELISA
- 浓度:
1 mg/ml (Please refer to the vial label for the specific concentration.)
- 靶点:
AHA-1
- 抗体英文名:
AHA-1 antibody [25F2.D9]
- 抗体名:
AHA-1 抗体 [25F2.D9]
- 规格:
50 μg
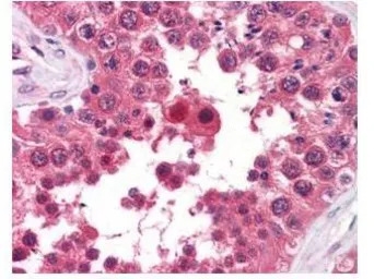
GeneTex's anti-AHA1 monoclonal antibody was used at a 5-10 μg/mL to detect AHA1 in the seminiferous tubule of human testis (40X) showing moderate staining. Leydig cells showed faint to moderate staining. Expression of AHA1 is reported in many epithelial and lymphatic tissues, with cytoplasmic localization. This antibody showed moderate cytoplasmic staining of a variety of epithelial tissues and lymphoid organs such as spleen and tonsil with minimal background staining. The image shows the localization of the antibody as the precipitated red signal, with a hematoxylin purple nuclear counterstain. Tissue was formalin-fixed and paraffin embedded.
Western blot using GeneTex's anti-AHA1 monoclonal antibody shows detection of a band ~42 kDa in size corresponding to AHA1 in A431 whole cell lysate (lane 1) and MCF-7 whole cell lysate (lane 2). A control lane is shown where primary ahntibody was omitted from the incubation (lane C). Molecular weight markers are shown at the left. For best results, block the membrane overnight with 3% BSA in TBS followed by reaction with primary antibody diluted 1:1,000 and use HRP conjugated anti-Rabbit IgG secondary antibody diluted 1:20,000 in blocking buffer) for detection.
风险提示:丁香通仅作为第三方平台,为商家信息发布提供平台空间。用户咨询产品时请注意保护个人信息及财产安全,合理判断,谨慎选购商品,商家和用户对交易行为负责。对于医疗器械类产品,请先查证核实企业经营资质和医疗器械产品注册证情况。
文献和实验过程中,一抗应在封闭缓冲液 (TBS/0.3%Triton. X–100/5% NGS) 中稀释。抗体:Phospho–Akt (Ser473) (D9E) XP. Rabbit mAb #4060、Phospho–EGFReceptor (Tyr1173) (53A5) Rabbit mAb #4407样本:石蜡包埋人类乳腺肿瘤(上图)和 HCC827 异种移植物(下图)抗体稀释:SignalStain. 抗体稀释液(左)或 TBST/5%NGS(右)检测—检测系统传统的 IHC 检测
cytotoxic cell 抗体依赖细胞毒细胞 ADH antidiuretic hormone 抗利尿激素 AEC 3-amino-9-ethyl-carbazole 3-氨-9-乙基咔唑 AFP alpha(α)-fetal-protein 甲胎蛋白 AHA anti-histone antibody 抗组蛋白抗体 AKP alkaline phosphatase 碱性磷酸酶 ALP Alkaline Phosphatase 碱性
【转帖】Top 100 proteomics publications
replication through telomeres requires Taz1. Nature 10. Wang et al. (2006) Hsp90 Cochaperone Aha1 Downregulation Rescues Misfolding of CFTR in Cystic Fibrosis. Cell 11. Olsen et al. (2006) Global, In Vivo, and Site-Specific Phosphorylation Dynamics
技术资料暂无技术资料 索取技术资料





![PAX5 antibody [rPAX5/2060]](https://img1.dxycdn.com/2022/0328/565/3176540563159700453-14.jpg!wh200)





