相关产品推荐更多 >
万千商家帮你免费找货
0 人在求购买到急需产品
- 详细信息
- 文献和实验
- 技术资料
- 免疫原:
This affinity purified antibody was prepared from whole rabbit serum produced by repeated immunizations with a synthetic peptide corresponding to amino acids surrounding Thr78 of human MLF1IP protein. ?The immunogen peptide is phosphorylated at Thr78.
- 亚型:
IgG
- 形态:
Liquid
- 保存条件:
Store as concentrated solution. Centrifuge briefly prior to opening vial. For short-term storage (1-2 weeks), store at 4ºC. For long-term storage, aliquot and store at -20ºC or below. Avoid multiple freeze-thaw cycles.
- 克隆性:
Polyclonal
- 标记物:
Unconjugated
- 适应物种:
Human, Bovine, Dog, Chimpanzee
- 保质期:
12 months from the shipping date of the product.
- 抗原来源:
Human
- 目录编号:
GTX48727
- 级别:
Primary Antibodies
- 库存:
Available
- 供应商:
GeneTex
- 宿主:
Rabbit
- 应用范围:
IHC-P, ELISA
- 浓度:
0.9 mg/ml (Please refer to the vial label for the specific concentration.)
- 靶点:
Mlf1 Interacting Protein (phospho Thr78)
- 抗体英文名:
Mlf1 Interacting Protein (phospho Thr78) antibody
- 抗体名:
Mlf1 Interacting Protein (phospho Thr78) 抗体
- 规格:
50 μg
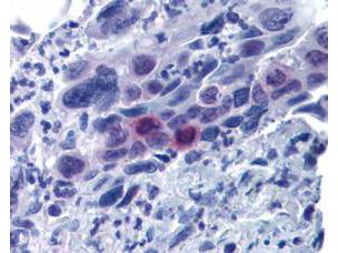
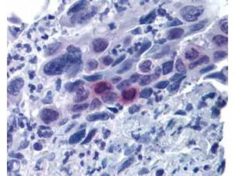
GeneTex's affinity purified anti-MLF1IP pT78 antibody was used at 20 μg/ml to detect signal in a variety of tissues including multi-human, multi-brain and multi-cancer slides. This image shows moderately positive staining of mitotic cells in colon adenocarcinoma at 60X. Tissue was formalin-fixed and paraffin embedded. The image shows localization of the antibody as the precipitated red signal, with a hematoxylin purple nuclear counterstain.
风险提示:丁香通仅作为第三方平台,为商家信息发布提供平台空间。用户咨询产品时请注意保护个人信息及财产安全,合理判断,谨慎选购商品,商家和用户对交易行为负责。对于医疗器械类产品,请先查证核实企业经营资质和医疗器械产品注册证情况。
文献和实验Using Phospho‐Motif Antibodies to Determine Kinase Substrates
: phospho?motif antibody; phosphorylation; protein kinase GO TO THE FULL PROTOCOL: PDF or HTML at Wiley Online Library
Optimized Protocol to Make Phospho-Specific Antibodies that Work
will describe the development of a revolutionary immunochemical technique that produces antibodies that bind to target proteins only when the protein is in the phosphorylated state. These phospho-specific antibodies can thus be used to track the activity of a protein
Phage‐Based Expression Cloning to Identify Interacting Proteins
the interacting protein. This technique leads directly to the isolation of a cDNA encoding the interacting protein, bypassing the need for labor?intensive protein purification, microsequencing, or antibody production.
技术资料暂无技术资料 索取技术资料











