相关产品推荐更多 >
万千商家帮你免费找货
0 人在求购买到急需产品
- 详细信息
- 文献和实验
- 技术资料
- 免疫原:
Synthetic peptide CQPRKLHFYKNGIKERFQITRINKTTARL corresponding to amino acids 59-87 within the N-terminal region of human IL-23 receptor.
- 亚型:
IgG
- 形态:
Liquid
- 保存条件:
Store as concentrated solution. Centrifuge briefly prior to opening vial. For short-term storage (1-2 weeks), store at 4ºC. For long-term storage, aliquot and store at -20ºC or below. Avoid multiple freeze-thaw cycles.
- 克隆性:
Polyclonal
- 标记物:
Unconjugated
- 适应物种:
Human, Mouse
- 保质期:
12 months from the shipping date of the product.
- 抗原来源:
Human
- 目录编号:
GTX39947
- 级别:
Primary Antibodies
- 库存:
Available
- 供应商:
GeneTex
- 宿主:
Goat
- 应用范围:
WB, IHC-P
- 浓度:
1.0 mg/ml (Please refer to the vial label for the specific concentration.)
- 靶点:
This antibody recognizes an epitope within the N-terminal region of Interleukin-23 receptor, precsent in isoforms 1, 3 and 4 (UniProt: Q5VWK5), the antibody is not expected to recognize other truncated forms of the receptor lacking the immunogen sequence.
- 抗体英文名:
IL23 Receptor antibody, N-term
- 抗体名:
IL23 Receptor 抗体, N-term
- 规格:
100 μg
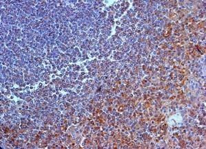
IHC-P analysis of human spleen tissue using GTX39947 IL23 Receptor antibody, N-term.
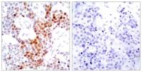
IHC-P analysis of mouse spleen tissue using GTX39947 IL23 Receptor antibody, N-term.
风险提示:丁香通仅作为第三方平台,为商家信息发布提供平台空间。用户咨询产品时请注意保护个人信息及财产安全,合理判断,谨慎选购商品,商家和用户对交易行为负责。对于医疗器械类产品,请先查证核实企业经营资质和医疗器械产品注册证情况。
文献和实验Expression of Extracellular N-Terminal Domain of NMDA Receptor in Mammalian Cells
NMDA receptor is a ligand-gated ion channel receptor composed of multiple subunits encoded by at least five genes and their splice variants (1 ). Functional channels can be produced with only the NR1 subunit. These single-subunit channels
In the field of therapeutic recombinant proteins, monoclonal antibodies (mAbs) have achieved a rising success with more than 30 mAbs that have reached the market in the past 20 years. From a structural standpoint, one of the most important
[3H](+)MK801 Radioligand Binding Assay at the N‐Methyl‐D‐Aspartate Receptor
., Siegel, B.W., Harrison, B.L., Gross, R.S., Hawes, C., and Towers, P. 1996. [3H]MDL 105,519, a high‐affinity radioligand for the N‐methyl‐D‐aspartate receptor‐associated glycine recognition site J. Pharmacol. Exp. Ther. 279:62‐68
技术资料暂无技术资料 索取技术资料









![TET2 antibody [GT649]](https://img1.dxycdn.com/2022/0329/079/4970106739385020453-14.jpg!wh200)
