相关产品推荐更多 >
万千商家帮你免费找货
0 人在求购买到急需产品
- 详细信息
- 文献和实验
- 技术资料
- 免疫原:
KLH conjugated synthetic peptide derived from human CD35.
- 亚型:
IgG
- 形态:
Liquid
- 保存条件:
Store as concentrated solution. Centrifuge briefly prior to opening vial. For short-term storage (1-2 weeks), store at 4ºC. For long-term storage, aliquot and store at -20ºC or below. Avoid multiple freeze-thaw cycles.
- 克隆性:
Polyclonal
- 标记物:
Unconjugated
- 适应物种:
Human, Mouse, Rat
- 保质期:
12 months from the shipping date of the product.
- 抗原来源:
Human
- 目录编号:
GTX37450
- 级别:
Primary Antibodies
- 库存:
Available
- 供应商:
GeneTex
- 宿主:
Rabbit
- 应用范围:
WB, IHC-P
- 浓度:
0.5 mg/ml (Please refer to the vial label for the specific concentration.)
- 靶点:
CD35
- 抗体英文名:
CD35 antibody
- 抗体名:
CD35 抗体
- 规格:
100 μg
WB analysis of rat pancreas (Lane 1), rat thymus (Lane 2), human breast cancer (Lane 3) tissue lysates using GTX37450 CD35 antibody.
Dilution : 1μg/ml
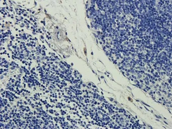
IHC-P analysis of mouse lymph node tissue using GTX37450 CD35 antibody.
Dilution : 2.5μg/ml
IHC-P analysis of human endometrial cancer tissue using GTX37450 CD35 antibody.
Dilution : 2.5μg/ml
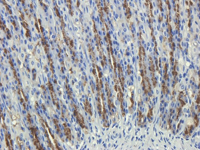
IHC-P analysis of rat stomach tissue using GTX37450 CD35 antibody.
Dilution : 2.5μg/ml
风险提示:丁香通仅作为第三方平台,为商家信息发布提供平台空间。用户咨询产品时请注意保护个人信息及财产安全,合理判断,谨慎选购商品,商家和用户对交易行为负责。对于医疗器械类产品,请先查证核实企业经营资质和医疗器械产品注册证情况。
文献和实验CD35 分子 CD35 常用单克隆抗体或代号: TO5,E11;(CR1) 主要表达细胞: G,M,DC,B,NKsubRBC [M] 分子质量(kDa)和结构: p250(含CCP结构域) 功 能: 结合C3b和C4b,调理吞噬,红细胞免疫粘附,调节B细胞活化 CD35 Aka CR1, C3b and C4b receptor Mediates adherence
网络 二、I型补体受体(CD35) I型补体受体(CR1、C3b/C受体,又称CD35) 为单链穿膜糖蛋白,分子量160-260kDa。CRI有四种同种异型,其分子量与基因频率分别为,A:190kDa(0.83)、B:220kDa(0.16)、C:160kDa(0.01)和D:260kDa(0.002),但它们的功能相同。CR1广泛分布
Generation of Antibody Molecules Through Antibody Engineering
been overcome to a large extent using genetic-engineering techniques to produce chimeric mouse/human and completely human antibodies. Such an approach is particularly suitable because of the domain structure of the antibody molecule ( 2 ), where functional
技术资料暂无技术资料 索取技术资料








![LYRIC antibody [N2C3]](https://img1.dxycdn.com/2022/0328/101/4741578169953200453-14.jpg!wh200)


