相关产品推荐更多 >
万千商家帮你免费找货
0 人在求购买到急需产品
- 详细信息
- 询价记录
- 文献和实验
- 技术资料
- 免疫原:
Recombinant protein of human TGM2
- 亚型:
IgG
- 形态:
Liquid
- 保存条件:
Store as concentrated solution. Centrifuge briefly prior to opening vial. For short-term storage (1-2 weeks), store at 4ºC. For long-term storage, aliquot and store at -20ºC or below. Avoid multiple freeze-thaw cycles.
- 克隆性:
Polyclonal
- 标记物:
Unconjugated
- 适应物种:
Human, Mouse
- 保质期:
12 months from the shipping date of the product.
- 抗原来源:
Human
- 目录编号:
GTX32934
- 级别:
Primary Antibodies
- 库存:
Available
- 供应商:
GeneTex
- 宿主:
Rabbit
- 应用范围:
WB, IHC-P
- 浓度:
Batch dependent (Please refer to the vial label for the specific concentration.)
- 靶点:
Transglutaminase 2
- 抗体英文名:
Transglutaminase 2 antibody
- 抗体名:
Transglutaminase 2 抗体
- 规格:
100 μl
IHC-P analysis of mouse brain tissue using GTX32934 Transglutaminase 2 antibody.
WB analysis of various sample lysates using GTX32934 Transglutaminase 2 antibody.
Dilution : 1:300
Loading : 25μg per lane
IHC-P analysis of human esophagus tissue using GTX32934 Transglutaminase 2 antibody.
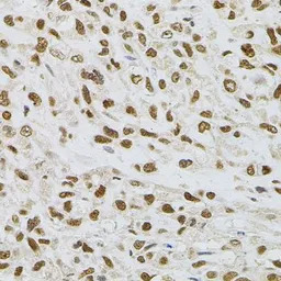
IHC-P analysis of human lung cancer tissue using GTX32934 Transglutaminase 2 antibody.
风险提示:丁香通仅作为第三方平台,为商家信息发布提供平台空间。用户咨询产品时请注意保护个人信息及财产安全,合理判断,谨慎选购商品,商家和用户对交易行为负责。对于医疗器械类产品,请先查证核实企业经营资质和医疗器械产品注册证情况。
- 作者
- 内容
- 询问日期
文献和实验Enzymatic Antibody Modification by Bacterial Transglutaminase
conjugates with improved properties for research or therapeutic use. As an example, we here provide a protocol for bacterial transglutaminase (BTGase)-mediated conjugation of cadaverine-derivatized substrates to an IgG1, resulting in stable bond formation
Synthesis of Hapten-Protein Conjugates Using Microbial Transglutaminase
Hapten-protein conjugates are essential in many immunochemical assays and in particular in assays using titration or competitive assay formats. By exploitation of the catalytic properties of the microbial transglutaminase
Transfection Complexes Generated with Adenovirus and Polyethylenimine-Condensed DNA
transglutaminase (15 ,16 ). The drawbacks with the direct virus-polylysine linkage methods are the generation of a fixed virus-to-polylysine ratio (limiting titration possibilities), and the storage difficulties of polylysine-adenovuus that necessitate the use
技术资料暂无技术资料 索取技术资料





![PEX19 antibody [GT533]](https://img1.dxycdn.com/2022/0329/795/6712437481995020453-14.jpg!wh200)
![DLGAP1 antibody [3G4]](https://img1.dxycdn.com/2022/0328/863/9522412073103500453-14.jpg!wh200)
![Influenza B virus Nucleoprotein antibody [B265M]](https://img1.dxycdn.com/2022/0328/990/9504781062883400453-14.jpg!wh200)

![NF-L antibody [1H3]](https://img1.dxycdn.com/2022/0328/241/8741243674713500453-14.jpg!wh200)
