相关产品推荐更多 >
万千商家帮你免费找货
0 人在求购买到急需产品
- 详细信息
- 文献和实验
- 技术资料
- 免疫原:
Recombinant fusion protein containing a sequence corresponding to amino acids 234-503 of human CYP19A1 (NP_000094.2).
- 亚型:
IgG
- 形态:
Liquid
- 保存条件:
Store as concentrated solution. Centrifuge briefly prior to opening vial. For short-term storage (1-2 weeks), store at 4ºC. For long-term storage, aliquot and store at -20ºC or below. Avoid multiple freeze-thaw cycles.
- 克隆性:
Polyclonal
- 标记物:
Unconjugated
- 适应物种:
Human, Mouse, Rat
- 保质期:
12 months from the shipping date of the product.
- 抗原来源:
Human
- 目录编号:
GTX32456
- 级别:
Primary Antibodies
- 库存:
Available
- 供应商:
GeneTex
- 宿主:
Rabbit
- 应用范围:
WB, IHC-P
- 浓度:
Batch dependent (Please refer to the vial label for the specific concentration.)
- 靶点:
Aromatase
- 抗体英文名:
Aromatase antibody
- 抗体名:
Aromatase 抗体
- 规格:
100 μl
IHC-P analysis of mouse brain tissue using GTX32456 Aromatase antibody.
Dilution : 1:100
WB analysis of various sample lysates using GTX32456 Aromatase antibody.
Dilution : 1:1000
Loading : 25μg per lane
IHC-P analysis of rat ovary tissue using GTX32456 Aromatase antibody.
Dilution : 1:100
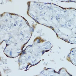
IHC-P analysis of human placenta tissue using GTX32456 Aromatase antibody.
Dilution : 1:100
风险提示:丁香通仅作为第三方平台,为商家信息发布提供平台空间。用户咨询产品时请注意保护个人信息及财产安全,合理判断,谨慎选购商品,商家和用户对交易行为负责。对于医疗器械类产品,请先查证核实企业经营资质和医疗器械产品注册证情况。
文献和实验Lin HY et al., Free Radic Biol Med 2021 (PMID:34186205)
存在于胎盘、马睾丸等微粒体部分,使△4 -3- 氧甾醇的 A 环芳构化,变成酚型酶。开始是 19 位的甲基由 19- 羟化酶进行二次羟化成为二羟化物,接着脱水形成 19- 氧代化物,然后,在 10 位与 19 位之间切断的同时失去 1 位与 2 位的氢而成为醌,烯醇化后生成酚。因此,此系统由 19- 羟化酶与 C 10 -C 19 裂解酶构成,均需要分子态氧与 NADPH 。
Efficient Expression of Human Aromatase (CYP19) in E. coli
Human aromatase (CYP19, P450arom) is responsible for the conversion of androgens to estrogens. In addition to the estrogen biosynthesis in gonads and adrenals in a classical endocrine manner, this enzyme is widely expressed in various tissues
Generation of Antibody Molecules Through Antibody Engineering
been overcome to a large extent using genetic-engineering techniques to produce chimeric mouse/human and completely human antibodies. Such an approach is particularly suitable because of the domain structure of the antibody molecule ( 2 ), where functional
技术资料暂无技术资料 索取技术资料





![Estrogen Receptor alpha antibody [GT9004]](https://img1.dxycdn.com/2022/0328/907/3760111828182500453-14.jpg!wh200)




