相关产品推荐更多 >
万千商家帮你免费找货
0 人在求购买到急需产品
- 详细信息
- 文献和实验
- 技术资料
- 免疫原:
Recombinant protein of human ALB
- 亚型:
IgG
- 形态:
Liquid
- 保存条件:
Store as concentrated solution. Centrifuge briefly prior to opening vial. For short-term storage (1-2 weeks), store at 4ºC. For long-term storage, aliquot and store at -20ºC or below. Avoid multiple freeze-thaw cycles.
- 克隆性:
Polyclonal
- 标记物:
Unconjugated
- 适应物种:
Human, Mouse
- 保质期:
12 months from the shipping date of the product.
- 抗原来源:
Human
- 目录编号:
GTX32430
- 级别:
Primary Antibodies
- 库存:
Available
- 供应商:
GeneTex
- 宿主:
Rabbit
- 应用范围:
WB, ICC/IF, IHC-P
- 浓度:
Batch dependent (Please refer to the vial label for the specific concentration.)
- 靶点:
Albumin
- 抗体英文名:
Albumin antibody
- 抗体名:
Albumin 抗体
- 规格:
100 μl
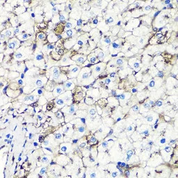
IHC-P analysis of human liver tissue using GTX32430 Albumin antibody.
Dilution : 1:100
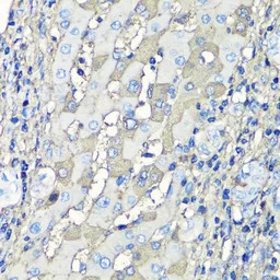
IHC-P analysis of human liver cancer tissue using GTX32430 Albumin antibody.
Blue : DAPI
Dilution : 1:100
ICC/IF analysis of HeLa cells using GTX32430 Albumin antibody.
Blue : DAPI
Dilution : 1:100
IHC-P analysis of human liver cancer tissue using GTX32430 Albumin antibody.
Dilution : 1:100
WB analysis of various sample lysates using GTX32430 Albumin antibody.
Dilution : 1:500
Loading : 25μg per lane
风险提示:丁香通仅作为第三方平台,为商家信息发布提供平台空间。用户咨询产品时请注意保护个人信息及财产安全,合理判断,谨慎选购商品,商家和用户对交易行为负责。对于医疗器械类产品,请先查证核实企业经营资质和医疗器械产品注册证情况。
文献和实验又称白蛋白。是一类不被 50%饱和度的硫酸铵溶液沉淀的球状蛋白质。存在于动物组织、体液和某些植物的种子中。其分子量较低,溶于水,易结晶。在中性溶液中加热即沉淀或凝固。其重要代表是血清蛋白、乳清蛋白、卵清蛋白、麦清蛋白、豆清蛋白及有毒的蓖麻蛋白。人血清(或血浆)清蛋白占血清蛋白质的 55~ 63%,是血清中少数不含糖的蛋白质之一;分子量 67500道尔顿,有 584个氨基酸残基和高净电荷(等电点 4.9);与水、 Ca2 、 Na 、 K 、脂肪酸及胆红素都有较好
白蛋白(albumin,Alb)系由肝实质细胞合成,在血浆中的半寿期约为15-19天,是血浆中含量最多的蛋白质,占血浆总蛋白的40%-60%。其合成率虽然受食物中蛋白质含量的影响,但主要受血浆中白蛋白水平调节,在肝细胞中没有储存,在所有细胞外液中都含有微量的白蛋白。关于白蛋白在肾小球中的滤过情况,一般认为在正常情况下其量甚微,约为血浆中白蛋白的0.04%,按此计算每天从肾小球滤过液中排出的白蛋白即可达3.6g,为终尿中蛋白质排出量的30-40倍,可见滤过液中多数白蛋白
广泛存在于生物体细胞或体液中的一类单纯蛋白质的总称。词源来自卵的“卵白”。可溶于水、稀酸、碱和中性碱金属盐溶液。在较高浓度的盐类溶液中容易结晶,其分子量在蛋白质中是较小的,多为数万。受氢离子浓度或盐类浓度的影响,以及在热(凝固温度 60— 70℃)或酶等条件下可凝固和变性等,从对这些环境变化表现很敏感的情况来看,可认为与细胞的生活有密切的关系。属于这类动物性蛋白有卵清蛋白、血清清蛋白、乳清蛋白、肌肉清蛋白(肌浆蛋白)。已知的植物性白蛋白有麦清蛋白(小麦、黑麦、大麦)、豆清蛋白
技术资料暂无技术资料 索取技术资料









![ALDH1L1 antibody [1H6]](https://img1.dxycdn.com/2022/0328/672/0507497626488500453-14.jpg!wh200)
