相关产品推荐更多 >
万千商家帮你免费找货
0 人在求购买到急需产品
- 详细信息
- 文献和实验
- 技术资料
- 免疫原:
Recombinant fusion protein containing a sequence corresponding to amino acids 1-248 of human SFN (NP_006133.1).
- 亚型:
IgG
- 形态:
Liquid
- 保存条件:
Store as concentrated solution. Centrifuge briefly prior to opening vial. For short-term storage (1-2 weeks), store at 4ºC. For long-term storage, aliquot and store at -20ºC or below. Avoid multiple freeze-thaw cycles.
- 克隆性:
Polyclonal
- 标记物:
Unconjugated
- 适应物种:
Human, Mouse, Rat
- 保质期:
12 months from the shipping date of the product.
- 抗原来源:
Human
- 目录编号:
GTX32418
- 级别:
Primary Antibodies
- 库存:
Available
- 供应商:
GeneTex
- 宿主:
Rabbit
- 应用范围:
WB, ICC/IF, IHC-P
- 浓度:
Batch dependent (Please refer to the vial label for the specific concentration.)
- 靶点:
14-3-3 sigma
- 抗体英文名:
14-3-3 sigma antibody
- 抗体名:
14-3-3 sigma 抗体
- 规格:
100 μl
ICC/IF analysis of MCF7 cells using GTX32418 14-3-3 sigma antibody.
Blue : DAPI
WB analysis of various sample lysates using GTX32418 14-3-3 sigma antibody.
Dilution : 1:1000
Loading : 25μg per lane
IHC-P analysis of rat skin tissue using GTX32418 14-3-3 sigma antibody.
Dilution : 1:100
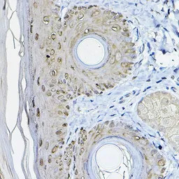
IHC-P analysis of mouse skin tissue using GTX32418 14-3-3 sigma antibody.
Dilution : 1:100
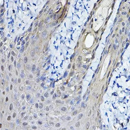
IHC-P analysis of human skin tissue using GTX32418 14-3-3 sigma antibody.
Dilution : 1:100
WB analysis of various sample lysates using GTX32418 14-3-3 sigma antibody.
Dilution : 1:1000
Loading : 25μg per lane
风险提示:丁香通仅作为第三方平台,为商家信息发布提供平台空间。用户咨询产品时请注意保护个人信息及财产安全,合理判断,谨慎选购商品,商家和用户对交易行为负责。对于医疗器械类产品,请先查证核实企业经营资质和医疗器械产品注册证情况。
文献和实验of the tryptic peptides derived from the purified enzyme revealed two amino acid sequences homologous to the 14-3-3 proteins. A polyclonal antibody was raised against purified ST-IV. A 33 kDa protein was co-immunoprecipitated from rat brain extracts with the anti
Introduction of human 14-3-3 proteins
of the tryptic peptides derived from the purified enzyme revealed two amino acid sequences homologous to the 14-3-3 proteins.A polyclonal antibody was raised against purified ST-IV.A 33 kDa protein was co-immunoprecipitated from rat brain extracts with the anti
Materials 0.1M NaHC03 pH9 DMSO NHS-Biotin (N-Hydroxysuccinimidobiotin, Sigma #H-1759) PBS Procedure Dialyze the sample against carbonate buffer. After dialysis, adjust
技术资料暂无技术资料 索取技术资料





![CD21 antibody [LB21]](https://img1.dxycdn.com/2022/0328/101/6858292477554500453-14.jpg!wh200)



![TGF beta 1 antibody [10E5]](https://img1.dxycdn.com/2022/0328/948/8342613695469600453-14.jpg!wh200)

