相关产品推荐更多 >
万千商家帮你免费找货
0 人在求购买到急需产品
- 详细信息
- 文献和实验
- 技术资料
- 免疫原:
GFR alpha 3 antibody was raised against a 14 amino acid peptide near the center of murine GFR alpha 3.The immunogen is located within the last 50 amino acids of GFR alpha 3.
- 亚型:
IgG
- 形态:
Liquid
- 保存条件:
Store as concentrated solution. Centrifuge briefly prior to opening vial. For short-term storage (1-2 weeks), store at 4ºC. For long-term storage, aliquot and store at -20ºC or below. Avoid multiple freeze-thaw cycles.
- 克隆性:
Polyclonal
- 标记物:
Unconjugated
- 适应物种:
Human, Mouse, Rat
- 保质期:
12 months from the shipping date of the product.
- 抗原来源:
Mouse
- 目录编号:
GTX31634
- 级别:
Primary Antibodies
- 库存:
Available
- 供应商:
GeneTex
- 宿主:
Rabbit
- 应用范围:
WB, IHC-P, ELISA
- 浓度:
1 mg/ml (Please refer to the vial label for the specific concentration.)
- 靶点:
GFR alpha 3
- 抗体英文名:
GFR alpha 3 antibody
- 抗体名:
GFR alpha 3 抗体
- 规格:
100 μg
IHC-P analysis of mouse heart tissue using GTX31634 GFR alpha 3 antibody.
Working concentration : 10 μg/ml
WB analysis of crude cell membrane fractions of mouse heart (H), spleen (S), kidney (K), liver (L), and brain (B) using GTX31634 GFR alpha 3 antibody.
Working concentration : 2 μg/ml
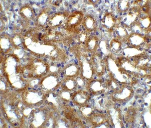
IHC-P analysis of mouse kidney tissue using GTX31634 GFR alpha 3 antibody.
Working concentration : 5 μg/ml
IHC-P analysis of mouse kidney tissue using GTX31634 GFR alpha 3 antibody.
Working concentration : 5 μg/ml
Green : Primary antibody
Blue : DAPI
Red : Actin
风险提示:丁香通仅作为第三方平台,为商家信息发布提供平台空间。用户咨询产品时请注意保护个人信息及财产安全,合理判断,谨慎选购商品,商家和用户对交易行为负责。对于医疗器械类产品,请先查证核实企业经营资质和医疗器械产品注册证情况。
文献和实验In situ hybridisation to alpha satellite sequences (chromosome specific)
Alpha satellite sequences, whilst highly repetitive, are specific to each individual chromosome. These sequences flank the centromeres and can present a target measured in megabases. In this protocol a biotin or digoxigenin labelled DNA
marrow. The prime suspect: an adhesion molecule called alpha2 integrin. The molecule showed increased expression on memory cells, and its ligand is predominantly expressed in bone marrow tissue. Also, when the researchers blocked alpha2 integrin
domesticus x Mus spretus] F1 DNA). In the analysis of the antibody bound (B) and unbound (U) fractions (right panel), the bands representing the maternal and paternal alleles are indicated.MATERIALS Reagents100-bp DNA step ladder (for duplex PCR
技术资料暂无技术资料 索取技术资料







![PUMA antibody [2A8F6]](https://img1.dxycdn.com/2022/0328/656/9083932829198500453-14.jpg!wh200)



