相关产品推荐更多 >
万千商家帮你免费找货
0 人在求购买到急需产品
- 详细信息
- 文献和实验
- 技术资料
- 免疫原:
A synthetic peptide of human ARF6
- 亚型:
IgG
- 形态:
Liquid
- 保存条件:
Store as concentrated solution. Centrifuge briefly prior to opening vial. For short-term storage (1-2 weeks), store at 4ºC. For long-term storage, aliquot and store at -20ºC or below. Avoid multiple freeze-thaw cycles.
- 克隆性:
Polyclonal
- 标记物:
Unconjugated
- 适应物种:
Human, Rat
- 保质期:
12 months from the shipping date of the product.
- 抗原来源:
Human
- 目录编号:
GTX30062
- 级别:
Primary Antibodies
- 库存:
Available
- 供应商:
GeneTex
- 宿主:
Rabbit
- 应用范围:
WB, IHC-P
- 浓度:
Batch dependent (Please refer to the vial label for the specific concentration.)
- 靶点:
ARF6
- 抗体英文名:
ARF6 antibody
- 抗体名:
ARF6 抗体
- 规格:
100 μl
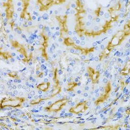
IHC-P analysis of rat kidney tissue using GTX30062 ARF6 antibody.
Dilution : 1:100
WB analysis of various sample lysates using GTX30062 ARF6 antibody.
Dilution : 1:250
Loading : 25μg per lane
IHC-P analysis of rat brain tissue using GTX30062 ARF6 antibody.
Dilution : 1:100
风险提示:丁香通仅作为第三方平台,为商家信息发布提供平台空间。用户咨询产品时请注意保护个人信息及财产安全,合理判断,谨慎选购商品,商家和用户对交易行为负责。对于医疗器械类产品,请先查证核实企业经营资质和医疗器械产品注册证情况。
文献和实验Hsu WC et al., FASEB J 2020 (PMID:32077148)
Arf6 and its Role in Cytoskeletal Modulation
4, and 5, and Class III Arfs have only one member-Arf6 (1 ). All Arf proteins have been shown to share a number of biochemical properties in vitro including: serving as cofactors in the ADP-ribosylation of Gs-alpha subunits induced by cholera toxin, activating
Preparation of Myristoylated Arf1 and Arf6 Proteins
can be further subdivided into class I (comprised of Arf 1 and Arf3 in humans), class II (comprised of Arf4 and Arf5), and class III (comprised of Arf6). Arfs have been found in all eukaryotes studied. Multiple Arf proteins occur within single organisms and within single
Generation of Antibody Molecules Through Antibody Engineering
been overcome to a large extent using genetic-engineering techniques to produce chimeric mouse/human and completely human antibodies. Such an approach is particularly suitable because of the domain structure of the antibody molecule ( 2 ), where functional
技术资料暂无技术资料 索取技术资料





![Alpha fetoprotein / AFP antibody [3G3/2D3]](https://img1.dxycdn.com/2022/0328/593/8393252012098500453-14.jpg!wh200)





