相关产品推荐更多 >
万千商家帮你免费找货
0 人在求购买到急需产品
- 详细信息
- 文献和实验
- 技术资料
- 免疫原:
Raji Burkitt's lymphoma cell line
- 亚型:
IgG2a
- 形态:
Liquid
- 保存条件:
Store as concentrated solution. Centrifuge briefly prior to opening vial. Store at 4ºC. DO NOT FREEZE.
- 克隆性:
Monoclonal
- 标记物:
Unconjugated
- 适应物种:
Human, Pig
- 保质期:
12 months from the shipping date of the product.
- 抗原来源:
Human
- 目录编号:
GTX28085
- 级别:
Primary Antibodies
- 库存:
Available
- 供应商:
GeneTex
- 宿主:
Mouse
- 应用范围:
IHC-P, FACS, IP
- 浓度:
1 mg/ml (Please refer to the vial label for the specific concentration.)
- 靶点:
This antibody reacts with common epitope on beta-chain of human HLA-DR and HLA-DP. DR and DP are the isotypes of human MHC Class II molecules expressed on antigen-presenting cells (APC; dendritic cells, B lymphocytes, monocytes, macrophages).
- 抗体英文名:
HLA-DR + HLA-DP antibody [HL-40]
- 抗体名:
HLA-DR + HLA-DP 抗体 [HL-40]
- 规格:
100 μg
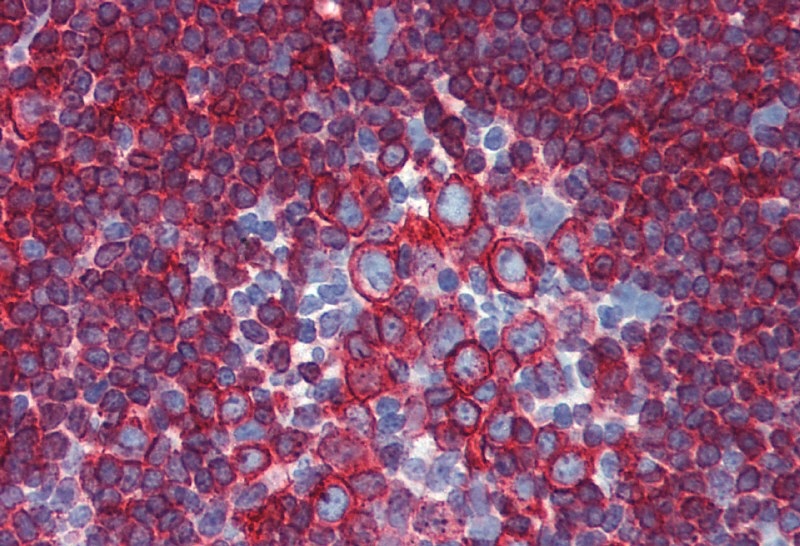
IHC-P analysis of human small intestine tissue using GTX28085 HLA-DR + HLA-DP antibody [HL-40].
风险提示:丁香通仅作为第三方平台,为商家信息发布提供平台空间。用户咨询产品时请注意保护个人信息及财产安全,合理判断,谨慎选购商品,商家和用户对交易行为负责。对于医疗器械类产品,请先查证核实企业经营资质和医疗器械产品注册证情况。
文献和实验PCR 扩增标本的HLA-DR基因 (一)扩增引物 HLA-DRB1基因扩增引物为:5’-CCGGATCCTTCGTGTCCCCACAGCACG-3’ 5’-TCGCCGCTGCACTGTGAAG-3’ (二)PCR扩增体系 (1) 1.0uM 扩增引物 (2) 300ng待测样本基因组DNA (3) 2.0U Taq多聚酶 (1)
1.抗原:HLA是糖蛋白抗原,又称组织相容性抗原、移植抗原和组织抗原。HLA由一系列紧密连锁的基因编码,这些基因称为组织相容性复合物(MHC),也称为HLA基因,定位在第6号染色体短臂上,共有6个座位,至少含4个与移植有关的基因区:即HLA-A,HLA-B,HLA-C和HLA-D.HLA-D又分为HLA-DR、HLA-DQ,HLA-DP亚区。HL-A、HLA-B、HLA-C基因编码的抗原称Ⅰ类抗原。HLA-DR、HLA-DQ、HLA-DP基因编码的抗原称Ⅱ类抗原。 HLA也存在
HLA抗原和抗体的概述是检验主管技师考试要求掌握的内容,医学教育网搜集整理相关内容供大家参考。 1.抗原:HLA是糖蛋白抗原,又称组织相容性抗原、移植抗原和组织抗原。HLA由一系列紧密连锁的基因编码,这些基因称为组织相容性复合物(MHC),也称为HLA基因,定位在第6号染色体短臂上,共有6个座位,至少含4个与移植有关的基因区:即HLA-A,HLA-B,HLA-C和HLA-D.HLA-D又分为HLA-DR、HLA-DQ,HLA-DP亚区。HL-A、HLA-B、HLA-
技术资料暂无技术资料 索取技术资料






![FXR2 antibody [1G2]](https://img1.dxycdn.com/2022/0328/504/9030747201380400453-14.jpg!wh200)
![CD74 antibody [CLIP/813]](https://img1.dxycdn.com/2022/0328/635/7144780166499600453-14.jpg!wh200)

![CD34 antibody [MEC14.7] (Low endotoxin, azide free)](https://img1.dxycdn.com/2022/0328/541/0979574771614400453-14.jpg!wh200)

