相关产品推荐更多 >
万千商家帮你免费找货
0 人在求购买到急需产品
- 详细信息
- 技术资料
- 免疫原:
Collagen Type III from human and bovine placenta
- 亚型:
IgG
- 形态:
Liquid
- 保存条件:
Store as concentrated solution. Centrifuge briefly prior to opening vial. For short-term storage (1-2 weeks), store at 4℃. For long-term storage, aliquot and store at -20℃ or below. Avoid multiple freeze-thaw cycles.
- 克隆性:
Polyclonal
- 标记物:
Biotin
- 适应物种:
Human, Mouse, Rat, Bovine
- 保质期:
12 months from the shipping date of the product.
- 抗原来源:
Human|Bovine
- 目录编号:
GTX26580
- 级别:
Primary Antibodies
- 库存:
Available
- 供应商:
GeneTex
- 宿主:
Rabbit
- 应用范围:
WB, IHC-P, IP, ELISA
- 浓度:
1 mg/ml(Please refer to the vial label for the specific concentration.)
- 靶点:
Collagen III
- 抗体英文名:
Collagen III antibody (Biotin)
- 抗体名:
Collagen III 抗体 (Biotin)
- 规格:
50 μg
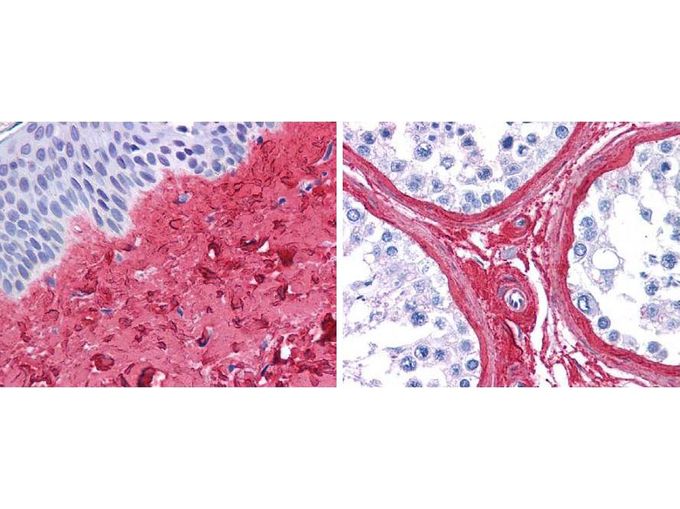
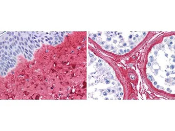
GeneTex anti collagen III antibody (GTX26580, 1:400, 45 min RT) showed strong staining in FFPE sections of human skin(left, dermis) with moderate to strong red staining and testis (right) where strong staining was observed within connective tissue between seminiferous tubules. The antibody showed strong extracellular staining within connective tissues across many organs with minimal background staining. Slides were steamed in 0.01 M sodium citrate buffer, pH 6.0 at 99-100ºC - 20 minutes for antigen retrieval.
风险提示:丁香通仅作为第三方平台,为商家信息发布提供平台空间。用户咨询产品时请注意保护个人信息及财产安全,合理判断,谨慎选购商品,商家和用户对交易行为负责。对于医疗器械类产品,请先查证核实企业经营资质和医疗器械产品注册证情况。
技术资料暂无技术资料 索取技术资料





![Paxillin antibody [GT7612]](https://img1.dxycdn.com/2022/0329/689/8754204299147020453-14.jpg!wh200)

![RAGE antibody [02]](https://img1.dxycdn.com/2022/0328/959/9638869783928700453-14.jpg!wh200)
![Cardiac Troponin I antibody [4A3]](https://img1.dxycdn.com/2022/0328/565/2653457187097500453-14.jpg!wh200)

