相关产品推荐更多 >
万千商家帮你免费找货
0 人在求购买到急需产品
- 详细信息
- 文献和实验
- 技术资料
- 免疫原:
BALB/C mice were injected with a synthetic peptide encoding a region near the C-terminal end of the synaptophysin protein.
- 亚型:
IgG1
- 形态:
Liquid
- 保存条件:
Store as concentrated solution. Centrifuge briefly prior to opening vial. Store at 4ºC.
- 克隆性:
Monoclonal
- 标记物:
Unconjugated
- 适应物种:
Human
- 保质期:
12 months from the shipping date of the product.
- 抗原来源:
Human
- 目录编号:
GTX26245
- 级别:
Primary Antibodies
- 库存:
Available
- 供应商:
GeneTex
- 宿主:
Mouse
- 应用范围:
IHC-P
- 浓度:
Batch dependent (Please refer to the vial label for the specific concentration.)
- 靶点:
Synaptophysin
- 抗体英文名:
Synaptophysin antibody [SYP02]
- 抗体名:
Synaptophysin 抗体 [SYP02]
- 规格:
500 μl
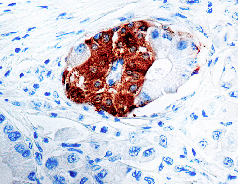
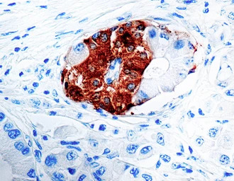
IHC-P analysis of human pancreas tissue using GTX26245 Synaptophysin antibody [SYP02].
风险提示:丁香通仅作为第三方平台,为商家信息发布提供平台空间。用户咨询产品时请注意保护个人信息及财产安全,合理判断,谨慎选购商品,商家和用户对交易行为负责。对于医疗器械类产品,请先查证核实企业经营资质和医疗器械产品注册证情况。
文献和实验, which was detectable after 3 min of clivorine treatment. The results from the same membrane reprobed with total-p38 antibody demonstrated that the total amount of p38 MAP Kinase in L-02 cells was not changed. We also tested the effect of another pyrrolizidine alkaloid
抗子宫内膜抗体(endomethal antibody,EMAb)检测
子宫内膜抗体(endomethal antibody,EMAb)是子宫内膜异位病患者受到异位内膜的刺激,或经血逆流等因素导致免疫应答紊乱产生的一种自身抗体,并与子宫内膜中靶抗原结合,在补体参与下,引起子宫内膜免疫病理损伤,影响孕卵着床,也容易发生早期流产。目前检测EMAb的方法有间接免疫荧光法(1FT)、双向免疫扩散法(1D)、间接血凝法(PHA)及ELISA法等。IFF法需刮取子宫内膜制备抗原片,并需一定设备
Immunofluorescence or IF is a technique allowing the visualization of a specific protein or antigen in cells or tissues by binding a specific antibody chemically conjugated with a fluorescence dye. Immunofluorescent staining is widely used
技术资料暂无技术资料 索取技术资料





![CD105 antibody [MEM-229] (PE)](https://img1.dxycdn.com/2022/0328/694/9967210017195500453-14.jpg!wh200)
![FAAH antibody [C2C3], C-term](https://img1.dxycdn.com/2022/0328/127/0782880361184300453-14.jpg!wh200)


![AKT3 antibody [66C1247]](https://img1.dxycdn.com/2022/0329/748/3341513537324020453-14.jpg!wh200)
