相关产品推荐更多 >
万千商家帮你免费找货
0 人在求购买到急需产品
- 详细信息
- 文献和实验
- 技术资料
- 免疫原:
Purified bovine skeletal muscle 80 kDa subunit of m-Calpastatin.
- 亚型:
IgG1
- 形态:
Liquid
- 保存条件:
Store as concentrated solution. Centrifuge briefly prior to opening vial. For short-term storage (1-2 weeks), store at 4ºC. For long-term storage, aliquot and store at -20ºC or below. Avoid multiple freeze-thaw cycles.
- 克隆性:
Monoclonal
- 标记物:
Unconjugated
- 适应物种:
Human, Rat, Bovine, Pig, Fish
- 保质期:
12 months from the shipping date of the product.
- 抗原来源:
Bovine
- 目录编号:
GTX25582
- 级别:
Primary Antibodies
- 库存:
Available
- 供应商:
GeneTex
- 宿主:
Mouse
- 应用范围:
WB, ICC/IF, IHC-P, IHC
- 靶点:
This antibody does not cross-react with calpains or calmodulin. This antibody recognizes an epitope between amino acid residues 543-673 (domain IV) of human calpastatin.
- 抗体英文名:
Calpastatin antibody [1F7E3D10]
- 抗体名:
Calpastatin 抗体 [1F7E3D10]
- 规格:
100 μl
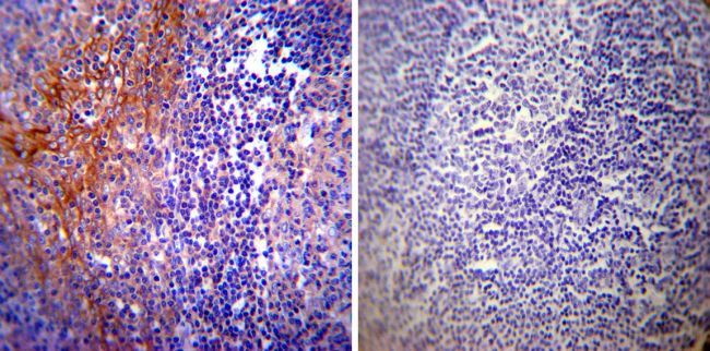
IHC-P analysis of human tonsil tissue using GTX25582 Calpastatin antibody [1F7E3D10].
Left : Primary antibody
Right : Negative control without primary antibody
Antigen retrieval : heat induced antigen retrieval was performed using 10mM sodium citrate (pH6.0) buffer, microwaved for 8-15 minutes
Dilution : 1:200
IHC-P analysis of human breast carcinoma tissue using GTX25582 Calpastatin antibody [1F7E3D10].
Left : Primary antibody
Right : Negative control without primary antibody
Antigen retrieval : heat induced antigen retrieval was performed using 10mM sodium citrate (pH6.0) buffer, microwaved for 8-15 minutes
Dilution : 1:200
IHC-P analysis of human skeletal muscle tissue using GTX25582 Calpastatin antibody [1F7E3D10].
Left : Primary antibody
Right : Negative control without primary antibody
Antigen retrieval : heat induced antigen retrieval was performed using 10mM sodium citrate (pH6.0) buffer, microwaved for 8-15 minutes
Dilution : 1:100
风险提示:丁香通仅作为第三方平台,为商家信息发布提供平台空间。用户咨询产品时请注意保护个人信息及财产安全,合理判断,谨慎选购商品,商家和用户对交易行为负责。对于医疗器械类产品,请先查证核实企业经营资质和医疗器械产品注册证情况。
文献和实验C value|C值[单倍基因组DNA的量] C value paradox|C值悖理[物种的C值和它的进化复杂性之间无严格对应关系] C4 dicarboxylic acid cycle|C4二羧酸循环 cachectin|恶液质素[即alfa肿瘤坏死因子] cadaverine|尸胺 cadherin|钙粘着蛋白[介导依赖(于)钙的细胞间粘着作用的一类跨膜蛋白质,分为E-,N-,P-等若干
技术资料暂无技术资料 索取技术资料





![CD40 antibody [5C3] (FITC)](https://img1.dxycdn.com/2022/0328/748/8817598472446700453-14.jpg!wh200)




