相关产品推荐更多 >
万千商家帮你免费找货
0 人在求购买到急需产品
- 详细信息
- 文献和实验
- 技术资料
- 免疫原:
Purified bovine brain S100 protein.
- 亚型:
IgG2a
- 形态:
Liquid
- 保存条件:
Store as concentrated solution. Centrifuge briefly prior to opening vial. Store at 4ºC.
- 克隆性:
Monoclonal
- 标记物:
Unconjugated
- 适应物种:
Human, Mouse, Rat, Bovine, Monkey
- 保质期:
12 months from the shipping date of the product.
- 抗原来源:
Bovine
- 目录编号:
GTX24066
- 级别:
Primary Antibodies
- 库存:
Available
- 供应商:
GeneTex
- 宿主:
Mouse
- 应用范围:
ICC/IF, IHC-P, IHC-Fr, IHC
- 靶点:
S100
- 抗体英文名:
S100 antibody [4C4.9]
- 抗体名:
S100 抗体 [4C4.9]
- 规格:
500 μl
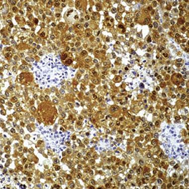
Formalin fixed paraffin embedded human melanoma stained with S-100 antibody (cat. #GTX20948).
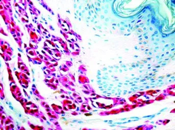
IHC-P analysis of human skin tissue using S100 antibody [4C4.9].
风险提示:丁香通仅作为第三方平台,为商家信息发布提供平台空间。用户咨询产品时请注意保护个人信息及财产安全,合理判断,谨慎选购商品,商家和用户对交易行为负责。对于医疗器械类产品,请先查证核实企业经营资质和医疗器械产品注册证情况。
文献和实验Liu S et al., Nat Commun 2018 (PMID:30575721)
Garc?a-Piqueras J et al., Ann Anat 2019 (PMID:31005573)
Garcia-Mesa Y et al., J Anat 2017 (PMID:28905996)
Cabo R et al., Anat Rec (Hoboken) 2014 (PMID:25230956)
Wu Y et al., Diagn Pathol 2021 (PMID:34454530)
上海西唐生物科技有限公司 021-55229872, 65333639 www.westang.com 人S100 蛋白 ( S100 )ELISA 试剂盒 ( 用于血清、血浆、细胞培养上清液和其它生物体液内 ) 原理 本实验采用双抗体夹心 ABC-ELISA 法。用抗人 S100 单抗包被于酶标板上,标准品和样品中的 S100与单抗结合,加入生物素化的抗人 S100
上海西唐生物科技有限公司 021-55229872, 65333639 www.westang.com 大鼠 S100 蛋白 (S100)ELISA 试剂盒 ( 用于血清、血浆、细胞培养上清液和其它生物体液内 ) 原理 本实验采用双抗体夹心 ABC-ELISA 法。用抗大鼠 S100 单抗包被于酶标板上,标准品和样品中的 S100 与单抗结合,加入生物素化的抗大鼠 S100 ,形成免疫复合物连接
上海西唐生物科技有限公司 021-55229872, 65333639 www.westang.com 小鼠S100 蛋白 ( S100 )ELISA 试剂盒 ( 用于血清、血浆、细胞培养上清液和其它生物体液内 ) 原理 本实验采用双抗体夹心 ABC-ELISA 法。用抗小鼠 S100 单抗包被于酶标板上,标准品和样品中的 S100与单抗结合,加入生物素化的抗小鼠
技术资料暂无技术资料 索取技术资料







![Elastase 3B antibody [CELA3B/1218]](https://img1.dxycdn.com/2022/0328/112/7514418837030700453-14.jpg!wh200)



