相关产品推荐更多 >
万千商家帮你免费找货
0 人在求购买到急需产品
- 详细信息
- 文献和实验
- 技术资料
- 免疫原:
Purified recombinant full-length human paxillin protein
- 亚型:
IgG1
- 形态:
Liquid
- 保存条件:
Store as concentrated solution. Centrifuge briefly prior to opening vial. Store at 4ºC. DO NOT FREEZE.
- 克隆性:
Monoclonal
- 标记物:
Unconjugated
- 适应物种:
Human, Rat
- 保质期:
12 months from the shipping date of the product.
- 抗原来源:
Human
- 目录编号:
GTX23127
- 级别:
Primary Antibodies
- 库存:
Available
- 供应商:
GeneTex
- 宿主:
Mouse
- 应用范围:
WB, ICC/IF, IHC-P, IP
- 靶点:
Paxillin
- 抗体英文名:
Paxillin antibody [5H11]
- 抗体名:
Paxillin 抗体 [5H11]
- 规格:
500 μl
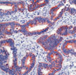
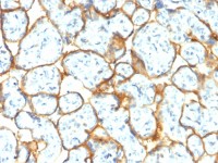
Formalin-fixed, paraffin-embedded human colon carcinoma stained with GTX23127 using peroxidase-conjugate and AEC chromogen. Note cytoplasmic staining of tumor cells.
风险提示:丁香通仅作为第三方平台,为商家信息发布提供平台空间。用户咨询产品时请注意保护个人信息及财产安全,合理判断,谨慎选购商品,商家和用户对交易行为负责。对于医疗器械类产品,请先查证核实企业经营资质和医疗器械产品注册证情况。
文献和实验【求助】谁有兔抗Paxillin和鼠抗phorsphotyrosine
kelvin12 请问各位同行谁有多余的兔抗Paxillin和鼠抗phorsphotyrosine,能否相赠?谢谢! iammonkey kelvin12战友:你知道paxillin磷酸化的阻断剂是什么吗?正做相关东西,刚接触不太明白! 磷酸化抗体 我公司有现货,具体如下: IBN4001 e-Acetylated Lysine Antibody IBN4006 e
祝贺〖雅裕睿安〗成为Signalway Antibody(SAB)独家
祝贺〖上海雅裕 〗成为 Signalway Antibody 品牌 (SAB) 的独家总代理。 促销【 ABCD 】细则如下: 【 A 】 买两支 SAB 抗体免费获得 8G 优盘 活动时间:即日起,至 2011 年
patrogenesis|孤雄生殖 pattern|[特征序列]模式 patulin|展青霉素 Pauli exclusion principle|泡利不相容原理 pauperization|杂交弱势 paxillin|桩蛋白[见于粘着斑,被栓在膜上] pea enation mosaic virus|豌豆耳突花叶病毒 pectamycin|密旋霉素
技术资料暂无技术资料 索取技术资料





![EAPII antibody [TDP2/1258]](https://img1.dxycdn.com/2022/0328/707/0371423054920700453-14.jpg!wh200)





