相关产品推荐更多 >
万千商家帮你免费找货
0 人在求购买到急需产品
- 详细信息
- 文献和实验
- 技术资料
- 免疫原:
β chain of human chorionic gonadotropin.
- 亚型:
IgG
- 形态:
Liquid
- 保存条件:
Store as concentrated solution. Centrifuge briefly prior to opening vial. Store at 4ºC.
- 克隆性:
Polyclonal
- 标记物:
Unconjugated
- 适应物种:
Human
- 保质期:
12 months from the shipping date of the product.
- 抗原来源:
Human
- 目录编号:
GTX20932
- 级别:
Primary Antibodies
- 库存:
Available
- 供应商:
GeneTex
- 宿主:
Rabbit
- 应用范围:
IHC-P
- 浓度:
Batch dependent (Please refer to the vial label for the specific concentration.)
- 靶点:
hCG beta
- 抗体英文名:
hCG beta antibody (ready-to-use)
- 抗体名:
hCG beta 抗体 (ready-to-use)
- 规格:
6 ml
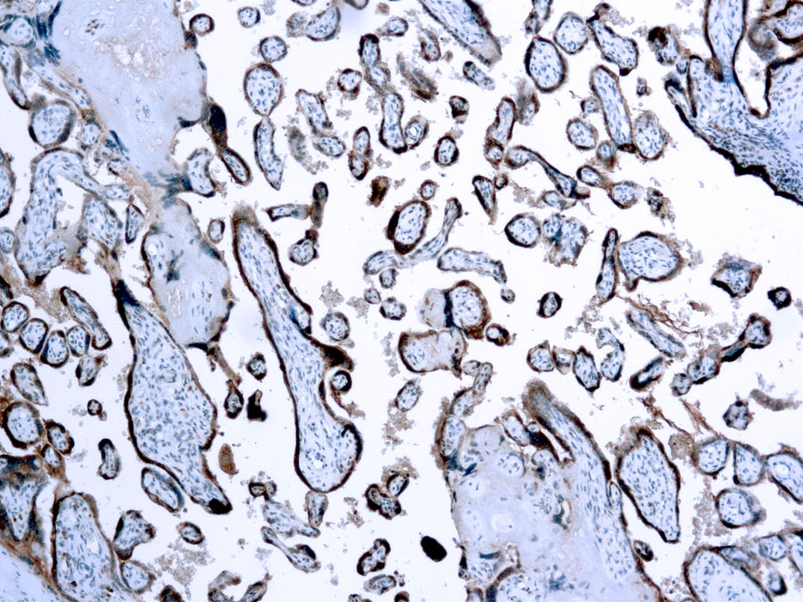
IHC-P analysis of human placenta tissue using GTX20932 hCG beta antibody (ready-to-use).
风险提示:丁香通仅作为第三方平台,为商家信息发布提供平台空间。用户咨询产品时请注意保护个人信息及财产安全,合理判断,谨慎选购商品,商家和用户对交易行为负责。对于医疗器械类产品,请先查证核实企业经营资质和医疗器械产品注册证情况。
文献和实验Obtaining Embryos: hCG Injection
Ovulation is induced in X. tropicalis by injection of human chorionic gonadotropin (hCG). X. tropicalis requires a much smaller dose than does X. laevis. We use basically the same protocol as that described on the Grainger site .
Anticardiolipin Antibody and Anti-beta 2 Glycoprotein I Antibody Assays
) antibodies and anti-beta 2 glycoprotein I (β2-GPI) antibodies. Other autoantibodies, such as those directed against anionic phospholipids, can also be assayed; however they are not of clinical significance. Participation in a quality assurance
Human chorionic gonadotropin (hCG) has been considered as a primary target molecule for a contraceptive vaccine by the World Health Organization because of its physiological and temporal specificity. hCG is an essential factor
技术资料暂无技术资料 索取技术资料







![HLA-G antibody [MEM-G/9]](https://img1.dxycdn.com/2022/0328/145/2349237701910400453-14.jpg!wh200)



