相关产品推荐更多 >
万千商家帮你免费找货
0 人在求购买到急需产品
- 详细信息
- 文献和实验
- 技术资料
- 免疫原:
BALB/C mice were injected with purified neurofilaments from human brain.
- 亚型:
IgG1
- 形态:
Liquid
- 保存条件:
Store as concentrated solution. Centrifuge briefly prior to opening vial. Store at 4ºC.
- 克隆性:
Monoclonal
- 标记物:
Unconjugated
- 适应物种:
Human
- 保质期:
12 months from the shipping date of the product.
- 抗原来源:
Human
- 目录编号:
GTX20910
- 级别:
Primary Antibodies
- 库存:
Available
- 供应商:
GeneTex
- 宿主:
Mouse
- 应用范围:
IHC-P
- 浓度:
Batch dependent (Please refer to the vial label for the specific concentration.)
- 靶点:
This antibody reacts with 70 and 200 kDa component of the neurofilament polypeptide subunit. It stains neurons, neuronal processes and peripheral nerves. This antibody reacts with some neuroblastomas and gangliomas but not with other non-neuronal tumors.
- 抗体英文名:
NF-H + NF-L antibody [2F11] (ready-to-use)
- 抗体名:
NF-H + NF-L 抗体 [2F11] (ready-to-use)
- 规格:
6 ml
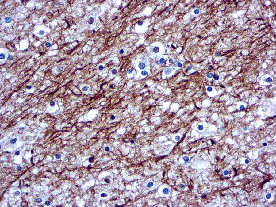
IHC-P analysis of human brain tissue using GTX20910 NF-H + NF-L antibody [2F11] (ready-to-use).
风险提示:丁香通仅作为第三方平台,为商家信息发布提供平台空间。用户咨询产品时请注意保护个人信息及财产安全,合理判断,谨慎选购商品,商家和用户对交易行为负责。对于医疗器械类产品,请先查证核实企业经营资质和医疗器械产品注册证情况。
文献和实验Immunohistochemistry / Immunocytochemistry Procedures
. Antigen retrieval has been shown to increase reactivity of the majority of antigens in tissues. The use of antigen retrieval in immunocytochemistry is less common, however depending upon the particular antibody/antigen combination it can be performed
技术资料暂无技术资料 索取技术资料






![Histone H3S28ph (phospho Ser28) antibody [HTA28]](https://img1.dxycdn.com/2022/0329/737/5892616339845020453-14.jpg!wh200)


![S100A9 antibody [S100A9/1011]](https://img1.dxycdn.com/2022/0328/972/9508820142131700453-14.jpg!wh200)

