相关产品推荐更多 >
万千商家帮你免费找货
0 人在求购买到急需产品
- 详细信息
- 询价记录
- 文献和实验
- 技术资料
- 免疫原:
Rheumatoid synovial cells and human monocytes.
- 亚型:
IgG1
- 形态:
Liquid
- 保存条件:
Store as concentrated solution. Centrifuge briefly prior to opening vial. For short-term storage (1-2 weeks), store at 4ºC. For long-term storage, aliquot and store at -20ºC or below. Avoid multiple freeze-thaw cycles.
- 克隆性:
Monoclonal
- 标记物:
Unconjugated
- 适应物种:
Human, Baboon, Cynomolgus monkey, Rhesus Monkey
- 保质期:
12 months from the shipping date of the product.
- 抗原来源:
Human
- 目录编号:
GTX20183
- 级别:
Primary Antibodies
- 库存:
Available
- 供应商:
GeneTex
- 宿主:
Mouse
- 应用范围:
IHC-Fr, FACS, IP
- 浓度:
1 mg/ml (Please refer to the vial label for the specific concentration.)
- 靶点:
CD11b
- 抗体英文名:
CD11b antibody [ICRF44]
- 抗体名:
CD11b 抗体 [ICRF44]
- 规格:
200 μg
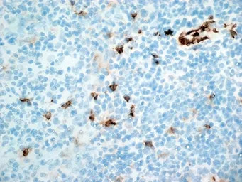
IHC-Fr analysis of human spleen tissue using GTX20183 CD11b antibody [ICRF44].
IHC-Fr analysis of human tonsil tissue using GTX20183 CD11b antibody [ICRF44].
IHC-Fr analysis of mouse lymph node using CD11b antibody [ICRF44] (Red), CD21 antibody [YTS105.18] (Green, GTX74728) and DAPI (blue).
IHC-Fr analysis of mouse lymph node using CD11b antibody [ICRF44] (Red), CD21 antibody [YTS105.18] (Green, GTX74728) and DAPI (blue).
IHC-Fr analysis of mouse lymph node using CD11b antibody [ICRF44] (Red), CD21 antibody [YTS105.18] (Green, GTX74728) and DAPI (blue).
IHC-Fr analysis of human tonsil tissue using GTX20183 CD11b antibody [ICRF44].
IHC-Fr analysis of human spleen tissue using GTX20183 CD11b antibody [ICRF44].
IHC-Fr analysis of human spleen tissue using GTX20183 CD11b antibody [ICRF44].
风险提示:丁香通仅作为第三方平台,为商家信息发布提供平台空间。用户咨询产品时请注意保护个人信息及财产安全,合理判断,谨慎选购商品,商家和用户对交易行为负责。对于医疗器械类产品,请先查证核实企业经营资质和医疗器械产品注册证情况。
- 作者
- 内容
- 询问日期
文献和实验上海西唐生物科技有限公司 021-55229872, 65333639 www.westang.com 大鼠可溶性 CD44(sCD44)ELISA 试剂盒 ( 用于血清、血浆、细胞培养上清液和其它生物体液内 ) 原理 本实验采用双抗体夹心 ABC-ELISA 法。用抗大鼠 sCD44 单抗包被于酶标板上,标准品和样品中的 sCD44 与单抗结合,加入生物素化的抗大鼠 sCD44 ,形成免疫
人可溶性CD44v6(sCD44v6)ELISA试剂盒 说明书
上海西唐生物科技有限公司 021-55229872, 65333639 www.westang.com 人可溶性CD44v6 (sCD44v6)ELISA 试剂盒 ( 用于血清、血浆、细胞培养上清液和其它生物体液内 ) 原理 本实验采用双抗体夹心 ABC-ELISA 法。用抗人 sCD44v6 单抗包被于酶标板上,标准品和样品中的 sCD44v6与单抗结合,加入生物素化的抗人
上海西唐生物科技有限公司 021-55229872, 65333639 www.westang.com 人可溶性CD11b ( sCD11b )ELISA 试剂盒 ( 用于血清、血浆、细胞培养上清液和其它生物体液内 ) 原理 本实验采用双抗体夹心 ABC-ELISA 法。用抗人 sCD11b 单抗包被于酶标板上,标准品和样品中的 sCD11b与单抗结合,加入生物
技术资料暂无技术资料 索取技术资料







![Her3 / ErbB3 antibody [3F10F6]](https://img1.dxycdn.com/2022/0328/625/2382915299557500453-14.jpg!wh200)

![Calreticulin antibody [FMC 75]](https://img1.dxycdn.com/2022/0328/329/3785073129924400453-14.jpg!wh200)
