相关产品推荐更多 >
万千商家帮你免费找货
0 人在求购买到急需产品
- 详细信息
- 文献和实验
- 技术资料
- 免疫原:
Recombinant human c-Src expressed in E. coli.
- 亚型:
IgG1
- 形态:
Liquid
- 保存条件:
Store as concentrated solution. Centrifuge briefly prior to opening vial. For short-term storage (1-2 weeks), store at 4ºC. For long-term storage, aliquot and store at -20ºC or below. Avoid multiple freeze-thaw cycles.
- 克隆性:
Monoclonal
- 标记物:
Unconjugated
- 适应物种:
Human, Mouse, Rat
- 保质期:
12 months from the shipping date of the product.
- 抗原来源:
Human
- 目录编号:
GTX19336
- 级别:
Primary Antibodies
- 库存:
Available
- 供应商:
GeneTex
- 宿主:
Mouse
- 应用范围:
WB, ICC/IF, IHC-P, IP
- 浓度:
0.5 mg/ml (Please refer to the vial label for the specific concentration.)
- 靶点:
Src
- 抗体英文名:
Src antibody [184Q20]
- 抗体名:
Src 抗体 [184Q20]
- 规格:
50 μg
WB analysis of 30 μg of MDA-MB-231 (lane1), MCF 7 (lane2), Jurkat (lane3), A431 (lane4), U2OS (lane5), Hep G2 (lane 6), HEK-293 (lane 7) and HeLa (lane 8) cell lysate using GTX19336 Src antibody [184Q20].
Dilution : 1-3 μg/ml
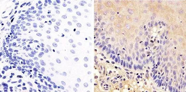
IHC-P analysis of human esophagus tissue using GTX19336 Src antibody [184Q20].
Right : Primary antibody
Left : Negative control without primary antibody
Antigen retrieval : 10mM sodium citrate (pH 6.0), microwaved for 8-15 min
Dilution : 1:100
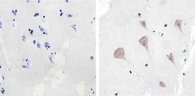
IHC-P analysis of human brain tissue using GTX19336 Src antibody [184Q20].
Right : Primary antibody
Left : Negative control without primary antibody
Antigen retrieval : 10mM sodium citrate (pH 6.0), microwaved for 8-15 min
Dilution : 1:100
风险提示:丁香通仅作为第三方平台,为商家信息发布提供平台空间。用户咨询产品时请注意保护个人信息及财产安全,合理判断,谨慎选购商品,商家和用户对交易行为负责。对于医疗器械类产品,请先查证核实企业经营资质和医疗器械产品注册证情况。
文献和实验oncogene of Moloney murine sarcoma virus (1) . It is a member of the src kinase family and is expressed at very low levels in some adult tissues (3) . However, the levels of c-mos expression are very high in male and female germ cells, thus suggesting
【分享】Methods in Molecular Medicine and biology的几本好书
Methods.pdf Vol.177 - TWO-HYBRID SYSTEMS.pdf Vol.178 - Antibody Phage Display - Methods & Protocols.pdf Vol.181 - Genomic Imprinting.pdf Vol.184 - Biostatistical Methods.djvu Vol.185 - Embryonic Stem Cells.pdf Vol.190 - High Throughput Screening.pdf
多篇 SCI 发现用 RIPA 提蛋白存在问题,我们该如何应对?
90, c-Src, 和 tubulin,表明这些蛋白在 RIPA 不可溶组分中大量存在(下图)。Wang 等 [6] 对比 SDS 加热法和 RIPA 裂解液法从斑马鱼肝脏肿瘤中提取蛋白,发现 RIPA 裂解液提取这些样品时对于大分子量蛋白的提取效率十分低(下图)。Li[7] 对比了从小鼠脾脏和肝脏中提取总蛋白 RIPA 可溶和不可溶性组分以及基于离心管柱法商业试剂盒提取的蛋白质图谱,发现 RIPA 不可溶组分蛋白质图谱与可溶性组分图谱相似,但是不完全相同。这些丢失的不可溶组分覆盖了整个蛋白质图谱分子
技术资料暂无技术资料 索取技术资料





![DDX3 antibody [6G8]](https://img1.dxycdn.com/2022/0328/527/8066162206232700453-14.jpg!wh200)
![Cytokeratin 8 antibody [RCK106]](https://img1.dxycdn.com/2022/0328/938/9239633022830400453-14.jpg!wh200)

![FOXA2 antibody [7H4B7]](https://img1.dxycdn.com/2022/0328/938/8678739927667500453-14.jpg!wh200)

