相关产品推荐更多 >
万千商家帮你免费找货
0 人在求购买到急需产品
- 详细信息
- 文献和实验
- 技术资料
- 免疫原:
Purified recombinant fragment of FOXA2 expressed in E. Coli.
- 亚型:
IgG1
- 形态:
Liquid
- 保存条件:
Store as concentrated solution. Centrifuge briefly prior to opening vial. For short-term storage (1-2 weeks), store at 4ºC. For long-term storage, aliquot and store at -20ºC or below. Avoid multiple freeze-thaw cycles.
- 克隆性:
Monoclonal
- 标记物:
Unconjugated
- 适应物种:
Human
- 保质期:
12 months from the shipping date of the product.
- 抗原来源:
Human
- 目录编号:
GTX83342
- 级别:
Primary Antibodies
- 库存:
Available
- 供应商:
GeneTex
- 宿主:
Mouse
- 应用范围:
WB, IHC-P, ELISA
- 靶点:
FOXA2
- 抗体英文名:
FOXA2 antibody [7H4B7]
- 抗体名:
FOXA2 抗体 [7H4B7]
- 规格:
100 μl
WB analysis of A549 cell lysate using GTX83342 FOXA2 antibody [7H4B7].
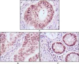
IHC-P analysis of human colon cancer (A), gastric cancer (B) and rectal cancer (C) tissue using GTX83342 FOXA2 antibody [7H4B7].
风险提示:丁香通仅作为第三方平台,为商家信息发布提供平台空间。用户咨询产品时请注意保护个人信息及财产安全,合理判断,谨慎选购商品,商家和用户对交易行为负责。对于医疗器械类产品,请先查证核实企业经营资质和医疗器械产品注册证情况。
文献和实验Generation of Antibody Molecules Through Antibody Engineering
been overcome to a large extent using genetic-engineering techniques to produce chimeric mouse/human and completely human antibodies. Such an approach is particularly suitable because of the domain structure of the antibody molecule ( 2 ), where functional
Materials 0.1M NaHC03 pH9 DMSO NHS-Biotin (N-Hydroxysuccinimidobiotin, Sigma #H-1759) PBS Procedure Dialyze the sample against carbonate buffer. After dialysis, adjust
Purification, Quantification, and Functional Analysis of Complement Factor H
Complement Factor H (FH) is an abundant, non-enzymic plasma/serum glycoprotein, which has a major role in regulating activation of the complement system. It can be purified from human plasma/serum by affinity chromatography, using
技术资料暂无技术资料 索取技术资料







![BrdU antibody [HL1111]](https://img1.dxycdn.com/2022/0329/163/9993232116698020453-14.jpg!wh200)



