相关产品推荐更多 >
万千商家帮你免费找货
0 人在求购买到急需产品
- 详细信息
- 文献和实验
- 技术资料
- 免疫原:
BALB/C mice were injected with cytokeratin 5.
- 亚型:
IgG1
- 形态:
Liquid
- 保存条件:
Store as concentrated solution. Centrifuge briefly prior to opening vial. Store at 4ºC.
- 克隆性:
Monoclonal
- 标记物:
Unconjugated
- 适应物种:
Human
- 保质期:
12 months from the shipping date of the product.
- 抗原来源:
Human
- 目录编号:
GTX17133
- 级别:
Primary Antibodies
- 库存:
Available
- 供应商:
GeneTex
- 宿主:
Mouse
- 应用范围:
IHC-P
- 浓度:
Batch dependent (Please refer to the vial label for the specific concentration.)
- 靶点:
Cytokeratin 5 + 6
- 抗体英文名:
Cytokeratin 5 + 6 antibody [D5/16 B4]
- 抗体名:
Cytokeratin 5 + 6 抗体 [D5/16 B4]
- 规格:
250 μl
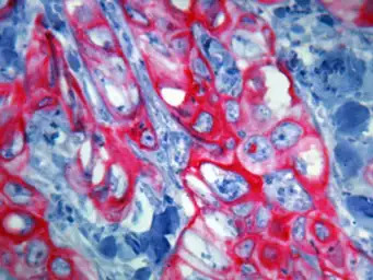
IHC-P analysis of human squamous cell carcinoma using GTX17133 Cytokeratin 5 + 6 antibody [D5/16 B4] with GTX03601 PermaRed/AP-AutoPlus.
IHC-P analysis of human skin tissue using GTX17133 Cytokeratin 5 + 6 antibody [D5/16 B4].
风险提示:丁香通仅作为第三方平台,为商家信息发布提供平台空间。用户咨询产品时请注意保护个人信息及财产安全,合理判断,谨慎选购商品,商家和用户对交易行为负责。对于医疗器械类产品,请先查证核实企业经营资质和医疗器械产品注册证情况。
文献和实验Joseph E Grossman et al., Clin Cancer Res 2022 (PMID:34789479)
Nucleic Acid Programmable Protein Arrays: Versatile Tools for Array‐Based Functional Protein Studies
. 7:8‐16. Christie, M.R., Hollands, J.A., Brown, T.J., Michelsen, B.K., and Delovitch, T.L. 1993. Detection of pancreatic islet 64,000 M(r) autoantigens in insulin‐dependent
技术资料暂无技术资料 索取技术资料






![Chikungunya virus nsP3 antibody [HL2479]](https://custom.dxycdn.com/trademd/upload/pic/2013/11/12/A1383891150.jpg!small.t.1)
![TLR9 antibody [N1N2], N-term](https://img1.dxycdn.com/2022/0328/201/8700542031968200453-14.jpg!wh200)
![CD66e antibody [12-140-10]](https://img1.dxycdn.com/2022/0328/425/8989775829187700453-14.jpg!wh200)


