相关产品推荐更多 >
万千商家帮你免费找货
0 人在求购买到急需产品
- 详细信息
- 文献和实验
- 技术资料
- 免疫原:
A synthetic peptide of human TPM2
- 亚型:
IgG
- 形态:
Liquid
- 保存条件:
Store as concentrated solution. Centrifuge briefly prior to opening vial. For short-term storage (1-2 weeks), store at 4ºC. For long-term storage, aliquot and store at -20ºC or below. Avoid multiple freeze-thaw cycles.
- 克隆性:
Polyclonal
- 标记物:
Unconjugated
- 适应物种:
Human, Mouse, Rat
- 保质期:
12 months from the shipping date of the product.
- 抗原来源:
Human
- 目录编号:
GTX16425
- 级别:
Primary Antibodies
- 库存:
Available
- 供应商:
GeneTex
- 宿主:
Rabbit
- 应用范围:
WB, IHC-P, IP
- 浓度:
Batch dependent (Please refer to the vial label for the specific concentration.)
- 靶点:
Tropomyosin 2
- 抗体英文名:
Tropomyosin 2 antibody
- 抗体名:
Tropomyosin 2 抗体
- 规格:
100 μl
WB analysis of various sample lysates using GTX16425 Tropomyosin 2 antibody.
Dilution : 1:400
Loading : 25μg per lane
IP analysis of mouse skeletal muscle tissue lysate using GTX16425 Tropomyosin 2 antibody.
Antibody amount : 3μg / 300μg lysate
Dilution : 1:1000
IHC-P analysis of human stomach tissue using GTX16425 Tropomyosin 2 antibody.
Dilution : 1:100
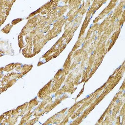
IHC-P analysis of mouse heart tissue using GTX16425 Tropomyosin 2 antibody.
Dilution : 1:100
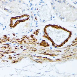
IHC-P analysis of rat heart tissue using GTX16425 Tropomyosin 2 antibody.
Dilution : 1:100
风险提示:丁香通仅作为第三方平台,为商家信息发布提供平台空间。用户咨询产品时请注意保护个人信息及财产安全,合理判断,谨慎选购商品,商家和用户对交易行为负责。对于医疗器械类产品,请先查证核实企业经营资质和医疗器械产品注册证情况。
文献和实验proteins (tropomyosin, fibrinogen, extended fibronectin): S max /S is in the range of 2.0 to 3.0. • For very long thread-like molecules
技术资料暂无技术资料 索取技术资料






![CD90.1 antibody [OX-7]](https://img1.dxycdn.com/2022/0329/815/3380839862836020453-14.jpg!wh200)



