相关产品推荐更多 >
万千商家帮你免费找货
0 人在求购买到急需产品
- 详细信息
- 文献和实验
- 技术资料
- 免疫原:
Purified recombinant TRAP1.
- 亚型:
IgG1
- 形态:
Liquid
- 保存条件:
Store as concentrated solution. Centrifuge briefly prior to opening vial. For short-term storage (1-2 weeks), store at 4ºC. For long-term storage, aliquot and store at -20ºC or below. Avoid multiple freeze-thaw cycles.
- 克隆性:
Monoclonal
- 标记物:
Unconjugated
- 适应物种:
Human, Mouse
- 保质期:
12 months from the shipping date of the product.
- 抗原来源:
Human
- 目录编号:
GTX16195
- 级别:
Primary Antibodies
- 库存:
Available
- 供应商:
GeneTex
- 宿主:
Mouse
- 应用范围:
WB, ICC/IF, IHC-P, IHC-Fr, IP
- 浓度:
1 mg/ml (Please refer to the vial label for the specific concentration.)
- 靶点:
Immunofluorescence staining of TRAP1 in PC-3-M cells with this antibody produces a pattern consistent with mitochondrial staining.
- 抗体英文名:
TRAP1 antibody [TRAP1-6]
- 抗体名:
TRAP1 抗体 [TRAP1-6]
- 规格:
100 μg
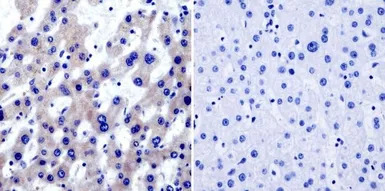
IHC-P analysis of human liver tissue using GTX16195 TRAP1 antibody [TRAP1-6].
Left : Primary antibody
Right : Negative control without primary antibody
Antigen retrieval : heat induced antigen retrieval was performed using 10mM sodium citrate (pH6.0) buffer, microwaved for 8-15 minutes
Dilution : 1:20
IP analysis of TRAP1 using GTX16195 TRAP1 antibody [TRAP1-6]. The results were visualized by Coomassie Blue staining.
ICC/IF analysis of PC-3-M cells using GTX16195 TRAP1 antibody [TRAP1-6].
ICC/IF analysis of NCI-H460 Cells using GTX16195 TRAP1 antibody [TRAP1-6]. Cells were probed without (right) or with(left) an antibody.
Green : Primary antibody
Blue : Nuclei
Red : Actin
Fixation : formaldehyde
Dilution : 1:200 overnight at 4ºC
风险提示:丁香通仅作为第三方平台,为商家信息发布提供平台空间。用户咨询产品时请注意保护个人信息及财产安全,合理判断,谨慎选购商品,商家和用户对交易行为负责。对于医疗器械类产品,请先查证核实企业经营资质和医疗器械产品注册证情况。
文献和实验Lin PH et al., J Biomed Sci 2015 (PMID:26100518)
[资源] 所有的看家基因(housekeeping genes)列表+引物设计服务
sapiens replication protein A2, 32kDa (RPA2), mRNA 537 NM_004356 Homo sapiens CD81 antigen (target of antiproliferative antibody 1) (CD81), mRNA 3638 NM_001743 Homo sapiens calmodulin 2 (phosphorylase kinase, delta) (CALM2), mRNA 4675 NM_004231
技术资料暂无技术资料 索取技术资料








![PIWIL4 antibody [10G9B11]](https://img1.dxycdn.com/2022/0328/742/1419158781613500453-14.jpg!wh200)


