相关产品推荐更多 >
万千商家帮你免费找货
0 人在求购买到急需产品
- 详细信息
- 文献和实验
- 技术资料
- 免疫原:
Synthetic peptide (unfortunately, the amino acid sequence is considered to be commercially sensitive) (Human) (C terminal).
- 亚型:
IgG
- 形态:
Liquid
- 保存条件:
Store as concentrated solution. Centrifuge briefly prior to opening vial. Store at 4ºC.
- 克隆性:
Polyclonal
- 标记物:
Unconjugated
- 适应物种:
Human, Rat
- 保质期:
12 months from the shipping date of the product.
- 抗原来源:
Human
- 目录编号:
GTX15532
- 级别:
Primary Antibodies
- 库存:
Available
- 供应商:
GeneTex
- 宿主:
Rabbit
- 应用范围:
IHC-P
- 浓度:
0.2 mg/ml (Please refer to the vial label for the specific concentration.)
- 靶点:
This antibody is specific for beta synuclein and does not cross react withalpha or gamma synuclein
- 抗体英文名:
beta Synuclein antibody
- 抗体名:
beta Synuclein 抗体
- 规格:
500 μl
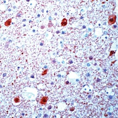
Human Brain stained with anti-Synuclein-beta antibody (GTX15532)
风险提示:丁香通仅作为第三方平台,为商家信息发布提供平台空间。用户咨询产品时请注意保护个人信息及财产安全,合理判断,谨慎选购商品,商家和用户对交易行为负责。对于医疗器械类产品,请先查证核实企业经营资质和医疗器械产品注册证情况。
文献和实验Anticardiolipin Antibody and Anti-beta 2 Glycoprotein I Antibody Assays
) antibodies and anti-beta 2 glycoprotein I (β2-GPI) antibodies. Other autoantibodies, such as those directed against anionic phospholipids, can also be assayed; however they are not of clinical significance. Participation in a quality assurance
。 如果beta-catenin抗体不好使,或者EGFP太大影响定位的话,还可以构建Flag标签类载体,转染细胞,加入药物,用抗Flag抗体免疫荧光检测,荧光显微镜下观察就好了。 wangjh28 但按照事先的推测,处理了以后会下调该基因的表达 我觉得科学不能有事先的推测的结果,这样容易受思维定势的影响,而忽略了新发现 dongreyuan 我打算用SAB的β-catenin(Ab-37)Antibody,说明
in 200 mls Solution A. Repeat wash. Pellet cells as above and resuspend in 4 mls Solution A. Reserve 2 mls of the cell suspension. Spheroplast the remaining 2 ml of the cell suspension by addition of beta-mercaptoethanol to 0.1, glusulase
技术资料暂无技术资料 索取技术资料








![Fas Ligand antibody [10F2] (Low endotoxin, azide free)](https://img1.dxycdn.com/2022/0328/608/6092476438224400453-14.jpg!wh200)


