相关产品推荐更多 >
万千商家帮你免费找货
0 人在求购买到急需产品
- 详细信息
- 文献和实验
- 技术资料
- 免疫原:
This antibody was developed against KLH-conjugated synthetic peptide corresponding to amino acids 165-180 (YVLKGHRDVQRTLSPG) of human PGRP-S (NP_005082).
- 亚型:
IgG3
- 形态:
Liquid
- 保存条件:
Store as concentrated solution. Centrifuge briefly prior to opening vial. For short-term storage (1-2 weeks), store at 4ºC. For long-term storage, aliquot and store at -20ºC or below. Avoid multiple freeze-thaw cycles.
- 克隆性:
Monoclonal
- 标记物:
Unconjugated
- 适应物种:
Human, Mouse
- 保质期:
12 months from the shipping date of the product.
- 抗原来源:
Human
- 目录编号:
GTX13903
- 级别:
Primary Antibodies
- 库存:
Available
- 供应商:
GeneTex
- 宿主:
Mouse
- 应用范围:
WB, ICC/IF, IHC-P, IHC-Fr, FACS, IHC
- 浓度:
1 mg/ml (Please refer to the vial label for the specific concentration.)
- 靶点:
PGRPS
- 抗体英文名:
PGRPS antibody [188C424]
- 抗体名:
PGRPS 抗体 [188C424]
- 规格:
100 μg
WB analysis of Jurkat cell lysate using GTX13903 PGRPS antibody [188C424].
Dilution : 2 μg/ml
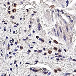
IHC-P analysis of human esophagus tissue using GTX13903 PGRPS antibody [188C424].
Dilution : 20 μg/mL
Antigen retrieval : Heat induced antigen retrieval (HIER) using 10mM sodium citrate buffer (pH 6.0)
风险提示:丁香通仅作为第三方平台,为商家信息发布提供平台空间。用户咨询产品时请注意保护个人信息及财产安全,合理判断,谨慎选购商品,商家和用户对交易行为负责。对于医疗器械类产品,请先查证核实企业经营资质和医疗器械产品注册证情况。
文献和实验(1995) The 14-3-3 family of proteins plays a role in a wide variety of cellular functions including regulation of protein kinase C and exocytosis. Using antisera specific for the N termini of 14-3-3 isoforms described previously and an additional
Intracellular Cytokine Staining Protocol
. Some protocols include a step of airfuging the antibody prior to multi-color flow analysis. For optimal performance of fluorochrome conjugated antibodies, wrap the vials with aluminum foil and store at 4°C in the dark. Do not freeze. When staining
Overview of Approaches to the Identification of Inhibitors of Cytokine Action
:297‐322. Depper, J.M., Leonard, W.J., Robb, R.J., Waldmann, T.A., and Greene, W.C. 1983. Blockade of the interleukin‐2 receptor by anti‐Tac antibody: inhibition of human
技术资料暂无技术资料 索取技术资料







![AGTR1 antibody [HL2524]](https://custom.dxycdn.com/trademd/upload/pic/2013/11/12/A1383891150.jpg!small.t.1)
![CD18 antibody [MEM-48] (Biotin)](https://img1.dxycdn.com/2022/0328/689/9776440207125500453-14.jpg!wh200)


